Instability/stiffness in elbow fracture dislocation
Abstract
Elbow motion is essential for upper extremity function to position the hand in space. After fracture dislocations of the elbow significant complications include: post traumatic stiffness (HO and restricted motion) with arthritis, instability, ulnar neuropathy and neuritis, deep infection and nonunion. Stiffness and instability, among all these complications, are indeed the most recurring and, because there is a limited compensatory motion in adjacent joints, even mild/moderate loss of elbow motion is perceived as disabling. A stiff or unstable elbow is very poorly tolerated because of the lack of compensatory motion in adjacent joints, so many patients ask for surgery to treat these complications. In consideration of the wide variety of clinical presentations, we have developed a classification for instability and one for stiffness that can also provide indications on correct surgical treatment. Regarding instability, to develop our classification we use two parameters, stabilizers involved (simple, avulsion of soft tissues; complex, bone fractures + soft tissues lesion) and timing (acute and chronic. Chronic instabilities present two subtypes: recurrent and persistent). Similarly the stiffness classification is based on these parameters: prevalent type of stiffness, type of feasible surgery and type of approach (open or arthroscopy).
Introduction
After fracture dislocations of the elbow significant complications include: post traumatic stiffness (HO and restricted motion) with arthritis, instability, ulnar neuropathy and neuritis, deep infection and nonunion.
Stiffness and instability, among all these complications, are indeed the most recurring. A stiff or unstable elbow is very poorly tolerated because of the lack of compensatory motion in adjacent joints, so many patients ask for surgery to treat these complications. In consideration of the wide variety of clinical presentations, we have developed a classification for instability and one for stiffness that can also give us indications on the correct surgical treatment.
Instability
The concepts of instability and dislocation are apparently simple and intuitive, but there are some clinical conditions, especially in the elbow, that can be confusing. A healthy elbow is reduced, i.e., its joint surfaces are well aligned and stable; joint alignment is maintained throughout its entire range of movement regardless of the stresses it undergoes.
Dislocation/subluxation can be defined as a static condition characterized by a loss of normal joint relationships and instability as a dynamic condition where, due to movement or mechanical stress, a reduced joint can lose its congruency (dislocation/subluxation). Based on these premises, all forms of elbow instability/dislocation can be grouped into three main types: not reduced unstable, reduced unstable, and not reduced not reducible. The “not reduced-unstable” type includes simple elbow dislocation (SED) not yet reduced and acute complex elbow instability, the “reduced-unstable” type includes the forms of temporary instability after a recent reduction of an SED and chronic recurrent instability, and the “not reduced-not reducible” type includes SED not reducible and persistent chronic dislocation.
For better characterization of elbow instability, there are other parameters, besides reduction and stability, which should be taken into consideration. These are:
- the stabilizers involved: simple and complex forms;
- timing: acute, chronic recurrent, and chronic persistent;
- the extent of dislocation: subluxation and dislocation;
- etiology (trauma, microtrauma, congenital, inflammatory;
- disease, neurological disease, sequelae of infection);
- the joints involved: ulno-humeral, humero-radial, and proximal radioulnar mechanism of dislocation/instability: posterolateral rotatory instability (PLRI), posteromedial rotatory instability (PMRI), valgus, varus, and direct posterior.
Considering the first two parameters, stabilizers involved (type A, avulsion of soft tissues; or type B, bone fractures + soft tissues lesion) and timing, we can divide elbow instability into six main groups: (1) A acute, (2) A recurrent, (3) A persistent, (4) B acute, (5) B recurrent, and (6) B persistent.
Within each group we can divide instability according to etiology (Tab. I), extent of dislocation (full dislocation or subluxation) and joints involved.
For instability of traumatic or microtraumatic origin, the lesion mechanism can be described. The most common mechanisms are posterolateral rotatory, posteromedial rotatory, direct posterior, varus stress, and valgus stress.
Recurrent forms: soft tissue
This group includes forms with different etiologies:
- Post-traumatic forms Most forms of recurrent instability occur by the PLRI mechanism 1 as the sequela of failed healing of the lateral collateral ligament injury. Valgus instability due to failure to heal of the medial collateral ligament is rarer, but possible.
- Overuse The most common cause of instability due to overuse involving only the soft tissues is damage to the medial collateral ligament produced by progressive stretching (chronic attenuation) which occurs in professional athletes who play overhead sport, especially baseball. Rare cases of varus instability due to overuse of the lateral collateral ligament in people walking with crutches are also described in the literature 1.
Recurrent forms: soft tissue + bone
This group includes clinical cases of recurrent instability where the bone deficit is combined with a ligamentous lesion.
These include:
- iatrogenic cases: excision of the radial head combined with not repaired and not healed injuries of the collateral ligaments. In these cases instability occurs during physiological movement or stress;
- post-traumatic deformity (more common) or congenital deformity. The bone deformity of the medial condyle (cubitus varus 2 or coronoid process) 3,4 over time causes abnormal varus stresses, producing a chronic attenuation of the lateral collateral ligament, and a progressive instability that occurs by the PLRI mechanism.
In these forms it is important to recognize and treat the bone injury: repairing or reconstructing only the lateral collateral ligament would result in failure if not combined with treatment of the bone injury, which consists of valgus osteotomy for cubitus varus and bone graft for the coronoid deficit 3,4.
Persistent soft tissue
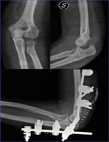
Persistent soft tissue dislocations are relatively rare and include missed diagnosis (or neglected forms) that is rare in developed countries and the forms caused by an inappropriate or failed treatment. In the failed treatment forms, where a re-dislocation occurs in a plaster cast or in a brace, diagnosis can be delayed if a strict clinical and/or radiographic follow-up is not performed. When the joint has been dislocated for longer than 2-3 weeks, it can no longer be reduced conservatively. Treatment requires extended arthrolysis and repair or reconstruction of the collateral ligaments combined or not with the use of an external fixator (Fig. 1). The reconstruction of the ligaments with autologous or homologous grafts is usually required after 3 months or more of dislocation.
Persistent soft tissue + bone
Persistent soft tissue + bone forms are the most difficult clinical cases to solve. They are a real challenge even for the most skilled elbow surgeon. We can also divide this group into “neglected forms” (very rare in developed countries) and “failed treatment” forms, which are instead not so uncommon. The most common type found in our experience is the terrible triad not treated or treated by simply removing the radial head, without fixing the coronoid process or repairing the lateral collateral ligament. Other not uncommon cases are caused by the failure to repair a large fragment of the coronoid process in trans-olecranon fractures. These forms can also include the sequelae of the Essex-Lopresti fracture-dislocations.
In this type of injury, stiffness and instability co-exist and treating one may risk aggravating the other. Surgery of these lesions consists of extensive arthrolysis, replacing the radial head bone defect with a prosthesis, reconstructing the coronoid process with grafts, reconstructing the collateral ligaments (generally with grafts), and possibly stabilizing with an external fixator (Fig. 2).
In case of severe and debilitating joint damage, a total elbow procedure can be considered a surgical option, especially in old and low-demand patients (Fig. 3).
Stiffness
The most common cause of elbow stiffness is elbow trauma. Not only trauma can directly alter the geometry of the joint, but it can also induce a number of secondary effects on the soft tissues around the elbow itself. Both situations can be further complicated by the formation of heterotopic ossification. Heterotopic ossifications commonly occur about the elbow in response to tissue trauma; these act as a physical block to elbow motion and might also create a synostosis between the radius and ulna, preventing forearm pronation/supination.
Soft tissue contracture leads to stiffness by physically restricting elbow motion. These soft tissue changes typically occur with the bony pathology mentioned above because these situations are often followed by contracture of the articular capsule, collateral ligaments, and muscles 5.
When the skin covering the elbow is no longer supple following a burn, motion could be again compromised. However, above all, one of the biggest changes trauma can induce in the joint capsule is represented by an increased number of myofibroblasts (i.e., fibroblasts with contractile ability) in its thickness. It has indeed demonstrated that there is significant correlation between joint range of motion and myofibroblast numbers, percentage of myofibroblast to total cells, and α-SMA (i.e., a contractile smooth muscle protein expressed by myofibroblast and therefore a myofibroblast marker) protein levels in the capsules of patients with post-traumatic joint contractures 6.
According to Morrey 7, the high degree of congruity and complexity of the articular joint and the susceptibility of the tissues (particularly the capsule) to react to trauma are the two basic anatomic features that underlie the elbow loss of motion, but they are not the only ones. Since the causes of elbow stiffness are so numerous, an etiology-based classification is an obvious first choice. It can be described as following:
- post-traumatic;
- arthritis;
- inflammatory;
- OA;
- dysplasia, etc.;
- neurogenic;
- tumor;
- others, etc. (burns, iatrogenic, etc.).
Each of these diseases can affect and reduce the range of motion due to internal and external articular damage. Traditionally, elbow contractures are classified on the basis of the underlying pathology in extrinsic (e.g., thickening of the ligaments or heterotopic ossification), intrinsic (e.g., osteophyte formation or fracture malunion) and mixed, because following intrinsic contractures patients may experience secondary contracture of the capsule, ligaments, and muscle of the elbow 8.
This is not a merely academic distinction but allows to choose the treatment for that elbow. As an example, it is not possible to obtain motion improvement by passive manual stretching if we are facing an intrinsic stiffness.
When we suggest surgery, it should be remembered that:
- it is not possible to guarantee the complete recovery also inmore simple cases;
- patients with a poor stiffness have more high expectations and will be less satisfied with a partial joint recovery.
Post-traumatic elbow stiffness
In post-traumatic elbow stiffness, many elements need to be evaluated at the same time to decide the adequate treatment. Even for an expert and dedicated surgeon, it can be challenging to identify and define the algorithm he/she usually follows to define the best surgical treatment. The existing classifications are descriptive, and they are not very useful to guide the type of treatment:
- cause (intrinsic and extrinsic);
- severity (very severe < 30, severe from 30 to 60°, moderate from 61 to 90°, minimal > 91°);
- involved movement (flexion-extension/pronation-supination).
We can identify four factors that guide surgical treatment:
- soft tissue contracture;
- arthritis;
- heterotopic ossification (HO);
- malunion/nonunion.
Different “surgery guiding factors” can be present at the same time in a single patient (Fig. 4). For example, a patient with distal humerus malunion can also present a secondary arthritis, HO, and soft tissue contracture. However, one of the four elements is usually predominant and influences the choice of the treatment.
We propose the following classification (the SOD classification), an easy and effective way to guide the treatment (Tab. II).
Prevalent type of stiffness: soft tissue contracture
Stiffness is mainly due to a reduction of the joint space, with hypertrophic and anelastic capsule and ligaments. An anterior and posterior capsulectomy must be performed, saving the ulnar bundle of the lateral collateral ligament (LCL) and the anterior bundle of the medial collateral ligament (MCL). This arthrolysis can be performed both arthroscopically and open. Elbow arthroscopy is not recommended in patients who have undergone previous elbow procedures with changes to the normal anatomy. Elbow arthroscopy after ulnar nerve transposition remains a relative contraindication.
Recommend extending the incision for the medial portal to identify and protect the nerve before inserting the arthroscope or instruments. An absolute contraindication for arthroscopic treatment of stiff elbows is a lack of experience with elbow arthroscopy. This procedure can be extremely difficult with a higher risk of nerve injury than other arthroscopic elbow procedures.
During open or arthoscopic surgery the neurolysis of the ulnar nerve must be performed if there is any sign of chronic compression in the epithrocleo-olecranic groove or simply as a precaution when a recovery of over 30° is expected (to reduce the risk of post-operative neurapraxias). The subcutaneous anterior translocation of the ulnar nerve is rarely needed.
Prevalent type of stiffness: heterotopic ossifications
The elbow is particularly predisposed to HO, but most HO around the elbow do not contribute appreciabily to loss of motion.
The mechanism of formation of this amorphous bone is believed to involve pluripotent cells that come from the surrounding muscle and differentiate into osteoblasts. Though incompletely understood, trauma and inflammation may start this process. HO may present with swelling, induration and progressive limitation of motion. Motion is limited and there is a firm endpoint. HO can often be seen on X-rays as early as 2 weeks after the event (surgery or trauma) and progressively develops and matures for up to 3-6 months.
As previously discussed, not all HO require surgical treatment. The main indication for surgical treatment, which can be an arthroscopic or, more often, open excision, is the presence of and arc of elbow motion that is less than functional and limits patient’s activities of daily living or interferes with occupational or recreational pursuits. The appropriate timing of surgical intervention remains controversial.
Discussion and conclusions
After elbow trauma patients can develop multiple complications. The most frequent are stiffness and instability which can create serious disabilities and which are often associated, making treatment more difficult and influencing the final result.
Regarding the instability, the Orthopedic Surgeon’s task is to perform accurate pre-operative study of the type of instability and to adopt correct surgical technique, which best restores anatomy and ligament stability, thus allowing early mobilization.
To limit the risks of post-traumatic stiffness, during the first treatment of the fracture, the surgeon must avoid the intrinsic stiffness associated with malunion of the joint surfaces and obtain a good stability of the fracture fragments. These are, in fact, the necessary conditions for promoting early mobilization and avoiding soft tissue contractures. Particular attention must be paid to the formation of heterotopic ossifications, often unpredictable, with the use of adequate anti-inflammatory therapy and possible use of radiant therapy.
Another important duty of the surgeon is to actively involve the patient in functional re-education, that has to be performed in the immediate post-operative period, in a self-assisted way (Fig. 5), with a custom tailored scheme explained during hospitalization and during follow-up.
Figures and tables
Figure 1.A case of persistent soft tissue instability, treated with extended arthrolysis, collateral ligaments repair and the use of an external fixator, to protect the ligament repair in the immediate follow-up.
Figure 2.A) case of persistent soft tissue + bone insyability (associated at elbow stiffness): this patient had a terrible triad lesion, treated with radial head removal and a cast; B) ROM at 3 months of fu; C) surgery on the lateral compartment: insertion of a radial head prosthesis and use of an allograft for the lateral collateral ligament reconstruction. D: surgery on the medial compartment: reconstruction of the coronoid process, using an allograft bone (from a radial head). E: ROM at 5 years fu.
Figure 3.Case of persistent soft tissue + bone instability in a patient treated with radial head removal. In this case, as the patient had 75 y.o., we treated her, successfully, with a total elbow replacement.
Figure 4.Types of prevalent post traumatic stiffness. A) soft tissues contracture; B) arthritis; C) heterotopic ossification.
| Timing involved structures | Acute | Chronic recurrent (dynamic dislocation) | Chronic persistent (static dislocation) |
|---|---|---|---|
| Simple Soft tissue | Dislocation without fractures | Post-traumatic Overuse Congenital hyperlaxity Iatrogenic Ex: following epicondilyte surgery | Post-traumatic: neglected; failed treatment |
| Complex Soft tissue + bone stabilizers | Fracture of: radial head; coronoid; olecranon; distal humerus associated with: + lcl/+- mcl lesion | Post-traumaticEx: lcl lenghtening caused by: cubitus varus; coronoid bone loss IatrogenicEx: following r.h. excision | Post-traumatic: neglected; failed treatment |
| Prevalent type of stiffness | Surgery | Approach |
|---|---|---|
| 1. Soft tissue contracture | Release Release (column procedure) | ScopeOpen |
| 2. Arthritis | Mild or moderate arthritis: osteocapsular arthroplasty | ScopeOpenCombined |
| Severe arthritis: biologic interposition/distraction arthroplasty (external fixators); TEA (> 70 ys) | Open | |
| 3. HO | Removal | Open |
| 4. Malunion/nonunion | ORIF/osteotomy; TEA (> 70ys) | Open |
| 5. Chronic subluxation | Rad. head/coron./Ligam. reconstr./external fixators TEA (> 70 ys or not possible reconstruction) | Open |
References
- O’Driscoll SW. Classification and evaluation of recurrent instability of the elbow. Clin Orthop Relat Res. 2000; 370:34-43. DOI
- O’Driscoll SW, Spinner RJ, McKee MD. Tardy posterolateral rotatory instability of the elbow due to cubitus varus. J Bone Joint Surg Am. 2001; 83-A:1358-69. DOI
- Okazaki M, Takayama S, Seki A. Posterolateral rotatory instability of the elbow with insufficient coronoid process of the ulna: a report of 3 patients. J Hand Surg. 2007; 32:236-9. DOI
- Bellato E, Rotini R, Marinelli A. Coronoid reconstruction with an osteochondral radial head graft. J Shoulder Elbow Surg. 2016; 25:2071-7. DOI
- Søjbjerg JO, Helmig P, Kjaersgaard-Andersen P. Dislocation of the elbow: an experimental study of the ligamentous injuries. Orthopedics. 1989; 12:461-3.
- Hildebrand KA, Zhang M. Myofibroblast numbers are elevated in human elbow capsules after trauma. Clin Orthop Relat Res. 2004; 419:189-97. DOI
- Morrey BF. The post-traumatic stiff elbow. Clin Orthop Relat Res. 2005; 431:26-35.
- Morrey BF. Post-traumatic contracture of the elbow. Operative treatment, including distraction arthroplasty. J Bone Joint Surg Am. 1990; 72:601-18.
License

This work is licensed under a Creative Commons Attribution-NonCommercial-NoDerivatives 4.0 International License.
Copyright
© Ortopedici Traumatologi Ospedalieri d’Italia , 2020
How to Cite
- Abstract viewed - 1058 times
- PDF downloaded - 305 times

