The use of megaprosthesis in the treatment of proximal and distal femur nonunions in the elderly
Abstract
Management of nonunion in the elderly patient are always a challenge for the orthopedic surgeon. The patient’s clinical condition is often critical, and normal nonunion management strategies are burdened with a high rate of failure. Megaprostheses have been designed for the management of bone tumors, but in the literature many cases of use in non-neoplastic conditions are described. They are, however, burdened by a high rate of complications, and in particular dislocations and periprosthetic infections. Proximal and distal femur replacement should therefore be considered as a salvage strategy to be used in the most severe cases of nonunion in the elderly patient.
Introduction
Complex articular or periarticular fractures in the elderly patient have always presented a challenge to orthopedic surgeons. Initially these fractures were treated conservatively with prolonged periods of immobilization favoring the onset of all those complications related to bed rest. In the 1970s, the AO demonstrated that proper surgical management of these fractures can result in excellent outcomes. This is only possible with strict adherence to the principles of the AO philosophy, which means: accurate anatomical reduction, stable internal fixation, and early motion. Several authors have decided to follow these principles, demonstrating the reproducibility of the original results. In 1979, Shatzker studied a cohort of 49 patients with supracondylar fractures 1. Thirty-five patients underwent ORIF and 14 patients underwent conservative treatment. The data demonstrated an excellent outcome in patients undergoing surgical treatment regardless of age. Several researchers have subsequently published their results and confirmed these findings 2-4. However, outcomes are strongly related to the quality of the reduction and the stability of the synthesis. New technologies introduced over the years have further improved clinical outcomes of patients undergoing open reduction and internal fixation (ORIF). In particular, locking compression plates (LCP) or less invasive stabilization system (LISS) 5 plates, in combination with minimally invasive osteosynthesis (MIO) techniques, allow to improve the quality of the fixation while preserving the blood supply to the bone and surrounding tissues. In recent years, some authors have proposed to treat these complex fractures in the elderly patient using acute prosthetic replacement 6. According to them, the choice of fixation in the elderly, osteoporotic patient is considered risky. High failure rates are often associated with a prolonged period of non-weight bearing, which in these clinically compromised patients results in complications including increased mortality. The choice of using such an aggressive solution in acute fractures is still debated. Instead, the use of megaprostheses for the treatment of nonunions in elderly patients is more accepted. These megaprostheses were initially intended for the treatment of primary bone tumors or metastatic disease 7. One of the first authors to describe the “off-label” use of these implants was Freedman in 1997, who obtained good results using endoprosthesis replacement in 14 cases of failed internal fixation of proximal femoral fractures 8. The principles of treating failed internal fixation are not dissimilar whether the cause of nonunion be a pathological fracture or a nonunion that is refractory to multiple surgical interventions. In both instances, a large portion of proximal femur may have to be sacrificed, leaving a bony defect that may only be reconstructed using a megaprostheses.
Proximal femoral replacement (PFR) in nonunions
The management of proximal femur nonunions in elderly patients has evolved over the years. Aging induces a loss of bone regenerative capacity 9, and as a consequence techniques commonly used in young patients such as Masquelet or bone transport are burdened by a high rate of failure. Before the introduction of megaprostheses, the main solutions were the Gilderstone procedure or, in extreme cases, disarticulation, which are both very disabling for the patient. Several authors have published their findings related to management of non-neoplastic conditions by proximal femoral replacement with megaprosthesis. In 2012, Dean et al. 10 published the results of their study on 8 patients with failed internal fixation for traumatic proximal femoral fractures treated with PFR with endoprosthesis. The procedure was carried out as a one-stage procedure in six cases and a two-stage procedure in two cases of infected nonunion. No post-operative complications were reported, clinical outcomes were satisfactory (mean Harris Hip Score was 71.4 at final follow-up), and immediate weight bearing was allowed. The authors defined PFR as an effective salvage procedure in these difficult cases (Fig. 1). Parvizi et al. reported a dislocation rate of 19% in their study of 48 PFRs 11. The prosthetic survival rate was 87% at one year, 82% at three years, and 73% at five years. The authors concluded that a prerequisite for successful PFR is to restore the correct anatomy and biomechanics of the hip and that the length of the distal part of the femur be adequate to obtain secure fixation of the femoral stem.
Korim et al. 12 published a systematic review of the literature that included 14 papers and 356 patients. In all, 23.8% of patients underwent a second surgical procedure; the reasons for these additional treatments were dislocation in 15.7% and infection in 7.6%. Rarer complications were aseptic loosening (2.5%) and implant fracture (0.5%). The authors concluded that PFR is a valid salvage technique, but is burdened by a high rate of complications and therefore reinterventions.
The most frequent complication reported by the authors is instability and consequently dislocation (Fig. 2). This is probably caused by soft tissue insufficiency, which is typical of elderly patients who underwent multiple previous procedures. In particular, abductor lever deficiency seems to be the main cause of instability, especially when associated with caspular insufficiency. The development of more advanced devices and modern surgical techniques have decreased the incidence of this complication over the years.
First of all, the introduction of modular stems has allowed to simplify the surgical technique also allowing to correctly restore the length of the limb and therefore improve the tension of the abductor muscles 13. Moreover, modular stems allow more flexibility in determining resection length. Many authors have described the use of constrained acetabular liners to improve implant stability 14. However, this choice should be limited to selected cases, as it may lead to an increased risk of aseptic loosening of the acetabular component. The use of dual mobility acetabular components with large femoral heads allowed for increased implant stability without increasing the risk of acetabular component failure. Another method of restoring proper soft tissue tension is to use bone allografts that allow anatomical reconstruction of muscle structures 15. The use of allografts, however, is not without complications: transmission of infectious diseases and nonunion are just some of the complications described in the literature.
Distal femoral replacement (PFR) in nonunions
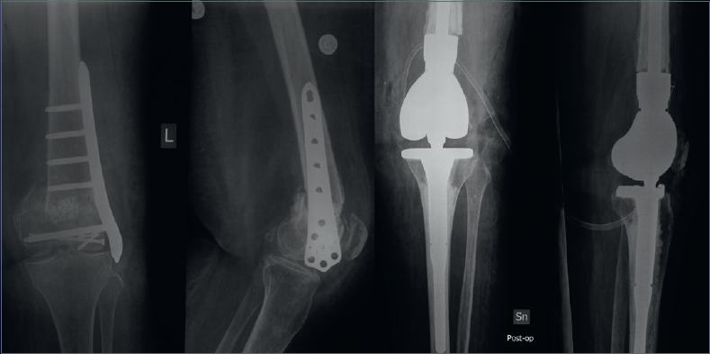
The most common indication for the use of megaprosthesis for distal femoral replacement is reconstruction after tumor resection 16. However, their use has been expanded over the years to treat other conditions such as resistant nonunion and comminuted fractures in the elderly with poor bone stock. Davila et al. 17 published a report of two cases of distal femoral nonunion treated with megaprosthesis in elderly patients. Both patients had already undergone numerous surgical procedures and consequently had both bone and soft tissue deficits. The authors chose to use a cemented rotating hinge megaprosthesis and both patients had clinical improvement. Another report was published by Haidukewych et al. 18 a few years later, stating that megaprostheses represent a successful salvage procedure in complex nonunion or failed internal fixation cases with a 29% (5/17) re-operation rate. Vaishya et al. 19 studied 10 patients with distal femoral nonunion treated with a modular resection system, confirming the conclusions of the previous authors. In 2013, Korim et al. 12 published a systematic review of the literature collecting all papers related to the use of megaprostheses for the treatment of non-neoplastic conditions. Nine papers with a total of 241 DFRs were included. The most frequent cause was “primary and secondary fracture treatment” with 72 patients, followed by “periprosthetic fractures”, “aseptic loosening” and “infection”. There were 41 reoperations for any reason giving a failure rate of 17% over a mean of 3.3 years. The most common reason for failure was non-mechanical with infection being the commonest at 15% (35/241). Mechanical complications such as aseptic loosening (5%) and implant fractures (2%) were rarer. In another recent review 20 including 54 DFR cases, the most common indication was “failed total knee arthroplasty” (n = 30), followed by “nonunion” (n = 10), “comminute supracondylar fracture” (n = 8), and “periprosthetic fracture” (n = 6). Complications were also analyzed: periprosthetic joint infection was seen in 18.5% of distal femur megaprosthesis (Fig. 3), soft tissue complications in 11.1% of cases, periprosthetic fractures in 11.1% of cases, and aseptic loosening in the remaining 9.9% of cases. The infection rate of primary TKAs reported in the literature is around 1%. The increase reported is caused by poor soft tissue quality due to multiple previous surgical procedures, long operation times, and general health status of the elderly patient. The incidence of periprosthetic joint infection was reduced by the introduction of antibacterial coating such as silver coated components. In contrast, the incidence of aseptic loosening is in line with the literature regarding the use of megaprostheses in neoplastic patients. This is probably due to the implant design. The first megaprostheses have a fixed hinge design that only allowed flexion and extension in one plane without rotational freedom, thus causing high stress at the cement-metal interface leading to aseptic loosening or fracture of the component 21 (Fig. 4). The introduction of the rotating hinge design drastically improved implant survival 22. This was further reduced with the addition of a hydroxyapatite collar at the implant-bone interface 23. However, this design did not tolerate poor intraoperative alignment, and to prevent this complication an intraoperative anterior-posterior and lateral radiograph should be obtained.
Conclusions
Resistant nonunion in proximal and distal femur fractures in the elderly is a significant challenge for the orthopedic surgeon. Proximal and distal femoral replacement with megaprosthesis is a viable option to treat these patients allowing early weight bearing and good clinical outcome. However, the high complication rates requires meticulous preoperative planning and the use of all the modern techniques available. Therefore, larger prospective comparative studies could potentially move research forward.
Acknowledgements
None.
Conflict of interest statement
The Authors declare no conflict of interest.
Funding
This research did not receive any specific grant from funding agencies in the public, commercial, or not-for-profit sectors.
Authors’ contributions
All the Authors contributed equally to this work; GV and GO designed the research and collected the articles; MC and FS analysed the articles; GO and GC wrote the paper; BM, EP, MT and MG contributed to manuscript revision; all Authors approved the final version of the manuscript.
Ethical consideration
This is a literature review article and does not require an ethics committee.
Figures and tables
Figure 1.Proximal femur nonunion treated with modular endoprosthesis. A) pre-operative x-rays; B) post-operative x-rays.
Figure 2.Dislocation of proximal femur endoprosthesis.
Figure 3.Distal femur infected nounion treated with a two-stage procedure. A) pre-operative x-rays; B) antibiotic spacer positioning; C) post-operative x-rays.
Figure 4.Distal femur nonunion treated with fixed hinge total knee arthroplasty. A) pre-operative x-rays; B) post-operative x-rays.
References
- Schatzke J, Lambert D. Supracondylar fractures of the femur. Clin Orthop. 1979; 1:77-83.
- Dominguez I, Moro Rodriguez E, De Pedro Moro J. Antegrade nailing for fractures of the distal femur. Clin Orthop Relat Res. 1998; 350:74-79.
- Danziger M, Caucci D, Zecher S. Treatment of intercondylar and supracondylar distal femur fractures using the GSH supracondylar nail. Am J Orthop. 1995; 24:684-690.
- Bolhofner B, Carmen B, Clifford P. The results of open reduction and Internal fixation of distal femur fractures using a biologic (indirect) reduction technique. J Orthop Trauma. 1996; 10:372-377. DOI
- Frigg R, Appenzeller A, Christensen R. The development of the distal femur Less Invasive Stabilization System (LISS). Injury. 2001; 32:24-31.
- Rice OM, Springer BD, Karunakar MA. Acute distal femoral replacement for fractures about the knee in the elderly. Orthop Clin North Am. 2020; 51:27-36. DOI
- Henderson ER, Groundland JS, Pala E. Failure mode classification for tumor endoprostheses: retrospective review of five institutions and a literature review. J Bone Jt Surg - Ser A. 2011; 93:418-429. DOI
- Freedman EL, Hak DJ, Johnson EE. Total knee replacement including a modular distal femoral component in elderly patients with acute fracture or nonunion. J Orthop Trauma. 1995; 9:231-237. DOI
- Al-Hamed FS, Rodan R, Ramirez-Garcialuna JL. The effect of aging on the bone healing properties of blood plasma. Injury. 2021; 52:1697-1708. DOI
- Dean BJF, Matthews JJ, Price A. Modular endoprosthetic replacement for failed internal fixation of the proximal femur following trauma. Int Orthop. 2012; 36:731-734. DOI
- Parvizi J, Tarity TD, Slenker N. Proximal femoral replacement in patients with non-neoplastic conditions. J Bone Jt Surg - Ser A. 2007; 89:1036-1043. DOI
- Korim MT, Esler CNA, Ashford RU. Systematic review of proximal femoral arthroplasty for non-neoplastic conditions. J Arthroplasty. 2014; 29:2117-2121. DOI
- Chandrasekar CR, Grimer RJ, Carter SR. Modular endoprosthetic replacement for tumours of the proximal femur. J Bone Jt Surg - Ser B. 2009; 91:108-112. DOI
- Goetz DD, Bremner BRB, Callaghan JJ. Salvage of a recurrently dislocating total hip prosthesis with use of a constrained acetabular component: a concise follow-up of a previous report. J Bone Jt Surg - Ser A. 2004; 86:2419-2423. DOI
- Donati D, Colangeli M, Colangeli S. Allograft-prosthetic composite in the proximal tibia after bone tumor resection. Clin Orthop Relat Res. 2008; 466:459. DOI
- Cameron H, Jung Y. Hinged total knee replacement: indications and results. Can J Surg. 1990; 33:53-57.
- Davila J, Malkani A, Paiso JM. Supracondylar distal femoral nonunions treated with a megaprosthesis in elderly patients: a report of two cases. J Orthop Trauma. 2001; 15:574-578. DOI
- Haidukewych GJ, Springer BD, Jacofsky DJ. Total knee arthroplasty for salvage of failed internal fixation or nonunion of the distal femur. J Arthroplasty. 2005; 20:344-349. DOI
- Vaishya R, Pal Singh A, Hasija R. Treatment of resistant nonunion of supracondylar fractures femur by megaprosthesis. Knee Surg Sports Traumatol Arthrosc. 2011; 19:1137-1140. DOI
- Vaishya R, Thapa SS, Vaish A. Non-neoplastic indications and outcomes of the proximal and distal femur megaprosthesis: a critical review. Knee Surg Relat Res. 2020; 32:1-7. DOI
- Gebert C, Wessling M, Götze C. The Modular Universal Tumour and Revision System (MUTARS®) in endoprosthetic revision surgery. Int Orthop. 2010; 34:1261-1265. DOI
- Barrack RL. Evolution of the rotating hinge for complex total knee arthroplasty. Clin Orthop Relat Res. 2001; 392:292-299. DOI
- Younger ASE, Duncan CP, Masri BA. The outcome of two-stage arthroplasty using a custom-made interval spacer to treat the infected hip. J Arthroplasty. 1997; 12:615-623. DOI
Affiliations
License

This work is licensed under a Creative Commons Attribution-NonCommercial-NoDerivatives 4.0 International License.
Copyright
© © Ortopedici Traumatologi Ospedalieri d’Italia (O.T.O.D.i.) , 2022
How to Cite
- Abstract viewed - 968 times
- PDF downloaded - 266 times

