Unusual-massive acromioclavicular joint cyst associated with complete reabsorption of the humeral head in outcomes of long-standing surgical stabilization for recurrent dislocations: case report
Abstract
Introduction. Acromioclavicular joint cysts (AJC) are rare findings associated with acromioclavicular (AC) joint arthritis or rotator cuff tear arthropathy. AJC type 1 are very rare and caused by an advanced degenerative arthritic process of the AC joint alone, without a rotator cuff tear; AJC Type 2 cysts are associated with a massive rotator cuff tear. Surgical excision represents the treatment of choice, since the aspiration of the cyst and the contextual injection of corticosteroid is burdened by a high rate of recurrence. We report the case of an unusual-massive acromioclavicular joint cyst associated with complete reabsorption of the humeral head and outcomes of long-standing surgical stabilization for recurrent dislocations. 
Case presentation. An 83-year-old man presented to our outpatient clinic complaining of a large cystic mass over the right shoulder region. Clinical examination revealed a mass over the right AC Joint, tender on palpation with normal overlying skin. Active range of motion (ROM) was limited but did not cause any discomfort to the patient. Imaging revealed complete reabsorption of the humeral head, and advanced shoulder degenerative arthropathy with loosening of the implanted hardware. Magnetic resonance imaging (MRI) revealed a ganglion cyst with the pathognomonic Geyser sign. The patient underwent surgical excision of the mass and an excision of 1 cm of the distal clavicle was performed to reduce the risk of recurrence. After one year of follow-up the patient is asymptomatic with no signs of recurrence. 
Discussion. Acromion-clavicular joint cysts are a rare consequence of advanced AC joint arthritis or chronic rotator cuff tear. The case presented is particularly interesting since it describes an AJC associated with an end stage shoulder arthropathy as a result of a surgical treatment for shoulder instability of only historical interest and certainly very rare to encounter in current clinical practice. Complete reabsorption of the humeral head associated with the mobilization of the implanted pins resulted in the formation of a fibrous cystic mass that replaced the head of the humerus; a complete cuff tear and a defect in the inferior capsule of the AC joint led to leakage of the synovial fluid through the AC joint which formed a cyst that appeared to be communicating through an isthmus with the previous described subacromion cyst. For the aforementioned reasoning, we believe that the formation of the acromioclavicular cyst is strictly related to the outcome of the previous surgery and represents the novelty of the case presented. Because of age, low demands and few symptoms lamented by the patient, we considered to perform only excision of the mass and resection of distal clavicle; patient satisfaction and no recurrence of the cyst after one year of follow-up rendered the therapeutic choice satisfying. Clinical presentation, instrumental diagnosis, and therapeutic possibilities on AJC are not discussed in detail as they do not represent the specific interest of the case and are debated in several other case reports. 
Conclusions. Although rare findings, AJC can be encountered in clinical practice in patients affected by degenerative shoulder arthropaties. Surgical excision associated with lateral end clavicle resection is a viable therapeutic option to treat an AJC in the elderly, which resulted in an appropriate treatment of the mass with no sign of recurrence after one year of follow up in the case presented.
Introduction
Acromioclavicular joint cysts (AJC) are a rare finding associated with acromioclavicular (AC) joint arthritis or rotator cuff tear arthropathy originally described by Craig in 1984; the incidence is higher in males and elderly patients.
AJC are classified in two types: AJC type 1 are very rare and are caused by an advanced degenerative arthritic process of the AC joint alone, without a rotator cuff tear; AJC Type 2 cysts are associated with a massive rotator cuff tear 1.
Clinical examination can be diagnostic, although further imaging investigation such as ultrasound, radiography, and MRI or CT are key tools to understand the etiology and to provide the best treatment in order to prevent recurrence 2.
MRI is the gold standard to determine the size and fluid composition of the cyst and the anatomical relationship between the AJC, the AC, and the glenohumeral joints and status of the rotator cuff.
Although AC joint cysts are considered pseudotumors, imaging is usually sufficient to make a diagnosis and a biopsy is not needed to make a differential diagnosis to exclude other tumors.
Surgical excision represents the treatment of choice, since aspiration of the cyst and contextual injection of corticosteroid are burdened by a high rate of recurrence 3,4.
We report the case of an unusual-massive AJC associated with complete reabsorption of the humeral head and outcomes of long-standing surgical stabilization for recurrent dislocations.
Case presentation
An 83-year-old man, a retired manual laborer, presented to our outpatient clinic complaining of a large cystic mass over the right shoulder region (Fig. 1). The patient reported chronic right shoulder discomfort and mild pain during daily life activities because of the increasing lump.
The patient referred a previous surgery for recurrent instability in the 1970s. Reviewing the medical history of the patient, an anterior capsuloplasty was performed according to the Delitala/Marino Zucco technique with a T-nail. The patient did not suffer any other dislocation after the surgery. Shoulder X-rays in 2007 showed an initial mobilization of the T-nails and a progressive osteoarthritis of the joint.
On physical examination, the mass measured 7 cm in diameter and 5 cm in height, it was tender on palpation, and mobile on the surrounding tissues with normal overlying skin. An anterolateral delto-pectoral wound testified the previous surgery. The active range of motion (ROM) of the right shoulder was 90° in flexion, 70° in abduction, internal rotation was at the level of the gluteus and external rotation was 15°.
X-rays and CT revealed a complete reabsorption of the humeral head, advanced degenerative changes with destruction of the gleno-humeral joint (GHJ), loosening of the hardware used to stabilize the shoulder and associated AC joint arthritis (Figs. 2A-B).
MRI revealed a well-defined, encapsulated, multilobular ganglion cyst, projecting superior to the degenerated ACJ and in communication with the GHJ through an isthmus to an equivalent large cyst, localized subacromionally, which had replaced the head of the humerus (Fig. 2C).
The patient underwent surgical excision of the mass which was removed en bloc and an excision of 1 cm of the distal clavicle was performed to reduce the risk of recurrence. The procedure was carried out in a semi-beach chair position.
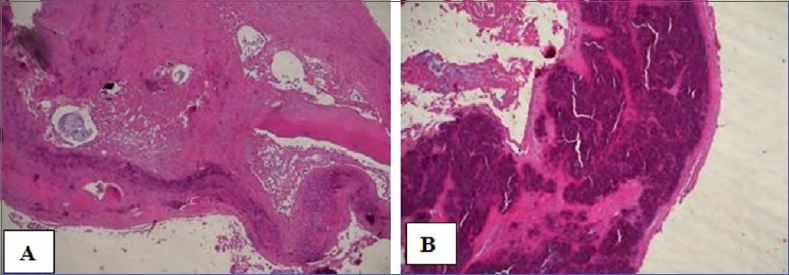
The cyst macroscopically contained a dense mucoid material without an attached vascular peduncle and histpathology was suggestive of a synovial cyst (Figs. 3-4).
Because of patient’s age, the low demanding lifestyle, and the sufficient range of motion of the shoulder, no other surgical procedure was planned.
Hardware was not removed to avoid excessive morbidity for the patient as it did not cause any subjective discomfort.
At one year follow-up the patient is asymptomatic with no signs of recurrence (Fig. 5).
Discussion
Acromion-clavicular joint cysts are a rare consequence of advanced AC joint arthritis or chronic rotator cuff tear. They have an overall incidence of 1% and mostly affect elderly patients. Although these are rare neoformations, Type-2 AJC are more frequent than type 1 and for this reason much of the literature is based on case reports or mini-reviews regarding AJC associated with cuff tears 3-4; only few reports have dealt with Type 1 AJC 5.
The case we presented is particularly interesting since it describes an AJC associated with an end stage shoulder arthropathy as a result of a surgical treatment for shoulder instability of only historical interest and certainly very rare to encounter in current clinical practice.
According to the literature, the surgical shoulder stabilization performed more than 50 years before the patient came to our observation has a high percentage of hardware mobilization, degenerative osteoarthritis, and vascular complications.
The etiopathogenesis of these cysts is associated with increased synovial fluid production and formation of a check valve mechanism that causes the escape of the synovial fluid into the AC joint capsule creating a ganglion cyst. Even in the case we reported, it is possible to observe the so-called geyser sign, pathognomonic of the mechanism described above 2.
Complete reabsorption of the humeral head associated with the mobilization of the implanted pins resulted in the formation of a fibrous cystic mass that replaced the head of the humerus; a complete cuff tear and a defect in the inferior capsule of the AC joint led to leakage of synovial fluid through the AC joint which formed a cyst that appeared to be communicating through an isthmus with the previous described subacromion cyst (Fig. 3C).
For the aforementioned reasoning, we believe that the formation of the acromioclavicular cyst is strictly related to the outcome of the previous surgery and represents the novelty of the case that we present.
Since our patient was in sufficient general conditions to undergo a surgical procedure, we did not consider conservative treatment due to the reported high rate of recurrence.
Established treatment options were arthroscopic debridement with repair of the rotator cuff tear, distal clavicular resection, humeral head replacement, total shoulder arthroplasty, and shoulder arthrodesis.
Because of age, low demands, and few symptoms lamented by the patient, we considered to perform only an excision of the mass and a resection of distal clavicle without finer and more complex accessory gestures as previously described by other authors 3.
We did not consider to perform a hemi or a reverse shoulder arthroplasty since the patient did not complain about a painful or limited range of motion.
Patient satisfaction and no recurrence of the cyst after one year of follow-up made the procedure satisfying for both therapeutic choice and procedure performed .
Clinical presentation, instrumental diagnosis, and therapeutic possibilities about AJC have not been discussed in detail as they do not represent the specific interest of the case and are debated in several other case reports.
To the best of the authors’ knowledge, among case reports in the literature about AJC, none have yet described a massive AJC related with end stage shoulder arthropathy and outcomes of a surgical treatment for shoulder instability of only historical interest and certainly very rare to encounter in current clinical practice.
Conclusions
Although rare, AJC can be encountered in clinical practice in patients affected by shoulder degenerative arthropathies.
Surgical excision associated with lateral end clavicle resection is a viable therapeutic option to treat an AJC in the elderly, which in this case resulted in appropriate treatment of the mass with no signs of recurrence after one year of follow-up.
Acknowledgements
None.
Conflict of interest statement
The Authors declare no conflict of interest.
Funding
This research did not receive any specific grant from funding agencies in the public, commercial, or not-for-profit sectors.
Authors’ contributions
The Authors contributed equally to the work.
Ethical consideration
Not applicable.
Figures and tables
Figure 1.Clinical findings: A-B) clinical appearance of the mass from a coronal and a sagittal view during outpatient visit; C) acceptable range of motion that reaches almost 90° of active elevation.
Figure 2.Imaging findings: A-B) x-Rays and CT scan demonstrate mobilization of the hardware, complete reabsorption of the humeral head, A-C joint arthritis; C) MRI revealed a well-defined, encapsulated, hyperintense ganglion cyst projecting superior to the degenerated ACJ and in communication through an isthmus (red circle) with the gleno-humeral joint (Geyser Sign). MRI also demonstrated an inveterate rupture of the supraspinatus.
Figure 3.Macroscopic findings: A) intra-operative picture denotes the size of the lesion at the time of enucleation; B-C) after the removal en bloc of the cyst, macroscopic appearance revealed a dense mucoid material content without an attached vascular peduncle.
Figure 4.Histological aspects: A) panoramic view of a cystic area of the lesion: the lumen contains some fibrous material, while the wall is composed of fibrous tissue with some ossification and calcification. There were no signs of inflammation; B) fibrous nodule of the fibrous wall with extensive microcalcification.
Figure 5.Radiographic follow-up one year after the surgery shows the resection of the lateral end of the clavicle performed during surgical excision of the cyst. Skin profile denotes no recurrence of the lesion.
References
- De Maio F, Di Marcantonio A, De Luna V. Synovial cyst of the acromioclavicular joint with and without rotator cuff tear: A case series of two patients. Int J Surg Case Rep. 2020; 75:390-393. DOI
- Negi RS, Gogoi B, Randhawa AS. MR Geyser sign in chronic rotator cuff tears. Med J Armed Forces India. 2018; 74:304-306. DOI
- Skedros JG, Knight AN. Massive acromioclavicular ganglionic cyst treated with excision and allograft patch of acromioclavicular region. J Shoulder Elbow Surg. 2012; 21:e1-5. DOI
- Christodoulou KC, Kakagia DD, Galanis VG. Gigantic acromioclavicular joint cyst: presentation and mini review. J Shoulder Elbow Surg. 2021; 30:e18-e24. DOI
- Guillén Astete CA, de la Casa Resinoc C. Acromioclavicular synovial cyst with rotator cuff integrity. Reumatol Clin. 2015; 11:121-122. DOI
License

This work is licensed under a Creative Commons Attribution-NonCommercial-NoDerivatives 4.0 International License.
Copyright
© © Ortopedici Traumatologi Ospedalieri d’Italia (O.T.O.D.i.) , 2022
How to Cite
- Abstract viewed - 487 times
- PDF downloaded - 331 times

