Pink pulseless hand in adults: a case report and literature review
Abstract
Supracondylar fractures are among the most common traumatic fractures observed in children.
In the literature, the incidence reported in adult patients is relatively rare. Even rarer is vascular compromise at this level in adults. We present a case of closed distal humerus fracture with pink pulseless hand.
Introduction
Supracondylar fractures are one of the most common traumatic fractures seen in children and most commonly occur in children 5-7 years of age from a fall on an outstretched hand, comprising 60% of all the elbow injuries in children. The fracture typically occurs through the weak metaphyseal bone proximal to the fossae 1.
Vascular injury is uncommon: in large pediatric series (53,571 supracondylar humeral fractures) 0.3% had associated vascular injury 2. In other smaller series or observational studies, somewhat higher rates are reported in displaced or open fractures. For example, in one study vascular injuries are more frequent in higher grade (III/IV) fractures 3.
Distal humerus fractures in adults are relatively rare, comprise about 2% of all fractures and about one-third of humerus fractures. In adults, supracondylar humerus fractures are far less frequent; there is scarce data on how often vascular lesions accompany them 4. The adult literature does not clearly report the incidence of vascular injury specifically in supracondylar humerus fractures a large series. A report on adult patients with closed distal humerus fractures found that vascular injury is rare. For example, the annual incidence of brachial artery injuries after closed elbow injuries was cited to be about 0.47-0.5%. However, this is among all elbow injuries, and not just supracondylar fractures. Thus, the specific rate for supracondylar humerus fractures in adults is not definitely provided5.
The elbow region has a rich and complex vascular network formed by anastomoses between branches of the brachial, radial, and ulnar arteries. These arterial anastomoses ensure adequate blood supply to the joint and surrounding muscles, even during movements that may temporarily compress some vessels (Fig. 1).
Brachial artery lesion may be secondary to various insults, such as entrapment, division, spasm of the vessel, the presence of an intimal tear, or thrombus formation.
We present a case of closed distal humerus fracture with pink pulseless hand.
Case report
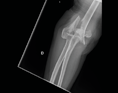
A 70-year-old woman was admitted in San Jacopo Hospital in the Pistoia emergency department with the injury of the right elbow due to blunt trauma reported after a fall while she was walking home. X-ray (Fig. 2) and CT (Fig. 3) showed a supracondylar right humerus multiple fragment fracture with articular elbow dislocation. We classified the fracture as 13C3.1 according to the AO classification.
At the first evaluation she had normal sensitivity, radial pulse and capillary refill of the hand and the forearm. A few hours later she started complaining of worsening pain and loss of sensitivity to the hand associated with reduction of capillary refill and loss of radial pulse. Based on clinical evidence CT angiography (Fig. 4) and Doppler ultrasound were performed.
The CT angiography showed a humeral artery occlusion at the elbow and no opacification of the profunda brachii-recurrent radial artery, with slight opacification of the radial and ulnar artery from the superior ulnar artery. The same findings were seen at Doppler ultrasound with occlusion of the distal section of brachial artery and subcontinous post-obstructive blood flow in ulnar and radial artery at the wrist.
The patient was urgently taken to the operating room for reduction and stabilization of the fracture with external fixation (Fig. 5). At the end of surgery, there were no clinical signs of ischemia and a check of the radial artery with Doppler ultrasound showed recovery of blood flow. Given this condition, the vascular surgeon did not make surgical a indication. Sodium heparin infusion was started with aPTT target between 50 and 60 sec.
After 12 hours, clinical evaluation showed no worsening of the occlusion of the brachial artery and good vascularization of the hand at Doppler ultrasound, and no worsening of symptoms at rest or pain during extensive prehension exercise.
After 5 days of therapy, Doppler ultrasound showed alteration of radial and ulnar artery blood flow and persistence of paresthesias of the median nerve, and therapy with multivitamin B complex and levoacetylcarnitine was started. Sodium continuous heparin infusion was given for 5 days, after which it was replaced with enoxaparin 4000 IU 2 times a day for one week.
After this, the patient was operated on to remove the external fixation and was converted in definite reduction and synthesis with double plates and screws and immobilized in plaster.
On the day of discharge, Doppler ultrasound showed a normal flow in the humeral artery with small strictures in terminal branches, without hemodynamic alterations in distal territory and patency of the radial artery, ulnar artery, and deep branches of the humeral artery up to proximal territory of forearm.
Therapy at discharge was double antiplatelet therapy with enoxaparin 4000 IU and acetylsalicylic acid 100 mg once a day. Mobilization of the elbow was allowed at two weeks after definitive surgery.
One month after surgery, the patient presented a marked improvement of paresthesias in the median nerve territory and an improvement in range of motion of the elbow.
Doppler ultrasound showed complete patency and good flow of the humeral, radial and ulnar arteries. The patient continued therapy with enoxaparin 4000 IU and acetylsalicylic acid 100 mg for a further 6 months.
Discussion
Often, in case of vascular injury, the intervention of a vascular surgeon is necessary when: distal pulses after fracture reduction are absent; pulseless, pale, or cold hand despite alignment correction; Doppler or angiographic evidence of arterial occlusion, thrombosis, or transaction; expanding hematoma, bruit, or signs of active bleeding 6. An orthopedic team typically performs urgent closed or open reduction of the fracture first. In many cases, vascular flow is restored after proper realignment due to decompression of the artery (especially if it was kinked or stretched). If circulation is not restored it is mandatory to proceed to exploration of the antecubital fossa.
The vascular surgeon may need to perform arterial repair, thrombectomy, and interposition grafting. Coordination is crucial to stabilize the fracture without compromising vascular repair, avoid hardware interfering with grafts, and maintain adequate limb perfusion throughout 7.
Based on the literature, it is known that the frequency of supracondylar humerus fractures complicated by vascular disease are most common in pediatric age, while in adults this is a rare event.
In a case report by Phang et al., who described a blunt trauma causing brachial artery injury, fractures around the elbow joint, and occult elbow instability/dislocation not evident clinically and radiologically at initial presentation. An urgent CT angiogram of the left upper limb showed a segment of non-opacification of contrast at the distal left brachial artery measuring 3.3 cm with distal reconstitution of the left brachial artery by collaterals just before the bifurcation of the left brachial artery at the left elbow joint. The equipe ad decided to perform a brachial artery exploration surgery at 15 hours after the fall. On intraoperative examination, the distal left brachial artery was contused. Therefore, a left brachial to brachial artery bypass was done using reversed saphenous vein graft. Fractures over left lateral epicondyle and left radial head were treated conservatively using a 90° posterior splint for 2 weeks. The plan was to immobilize these fractures for a short duration followed by early range of motion exercises 8.
In another case report by Harnaryan, who reported a brachial artery injuries after a closed elbow dislocation in a young patient, with a non-appreciable brachial puls, there was a palpable ipsilateral radial pulse that was lower in volume compared to the contralateral limb. Doppler ultrasound revealed the presence of triphasic flow in the brachial artery up to the level of the elbow joint with no flow distal to the elbow. Therefore, the patient was prepared for general anesthesia and taken emergently to the operating theater. The team decided to do a revascularization, closed fasciotomies were performed at the ipsilateral forearm, and the joint was immobilized with an external fixator 9.
In our case, the timely reduction of the fracture and stabilization with an external fixator allowed us to resolve the extrinsic compression of the humeral artery without having to proceed with surgical exploration by a vascular surgeon.
The humeral artery is very vulnerable, especially in its distal part, because this portion is very likely to become trapped in dislocated bony structures.
One must suspect a vascular injury whenever a patient has elbow trauma with classic signs suggesting fractures or dislocations. Attention should be paid to signs of ischemia that are never present early, because the upper limb is rich in collateral branches that initially support and compensate for the absence of vascularization. The clinician should frequently check pulses, sensation, capillary refill in the distal territory and oximetry to assess possible damage.
Pain, paresthesia, paralysis, pulselessness, pallor and poikilothermia could be not noted early and may be helpful in management by a vascular surgeon.
In such cases, one speaks of “Pink Hand Without Pulse” which is characterized by a territory of perfusion in the absence of a pulse of the radial artery. In these cases the consequences and complications of neurovascular damage are very serious and include ischemia, amputation, and Volkman’s contraction.
Additional aids in evaluating neurovascular damage are radiodiagnostic evaluation with X-ray to study the fracture and the dislocation of bone fragments, Doppler ultrasound to study the patency of vessels and provide hemodynamic information, and CT angiography to study each branch of the arteries.
Vascular injuries due to supracondylar humeral fractures need emergency management by orthopedic and vascular surgeons.
Urgent intervention by the vascular surgeon is very important, and the role of the orthopedic surgeon is crucial to reduce the fracture and decrease the compression of the arterial vessels, thus reducing the probability of thrombosis. A fracture with vascular damage can be managed with temporary external fixation and control of vascularization, only with the improvement of the patient’s condition can the surgeon proceed to internal fixation with plates and screws.
The gold standard for management of elbow fractures or dislocations with a vascular lesion is not yet reported in the literature. Kontopodis et al. described how to proceed when there is concomitant vascular and orthopedic trauma in 10 steps that provide suggestions for correct management. In our case we followed these steps without resorting to vascular surgery because it was resolved with reduction of the fracture and medical therapy 10.
Conclusions
Early clinical evaluation for neurovascular injury is very important to reduce and prevent ischemia and associated consequences. Diagnosis can be aided with radiodiagnostic exams to identify the location and entity of injury. Early and rapid realignment of the fracture by an orthopedic surgeon can reduce complications related to neurovascular damage. In these cases, synergic collaboration with the vascular surgeon helps to evaluate and establish the right therapy to ensure optimal recovery of blood flow.
Even if neurovasculary injury in adults is very rare, the problem should not be underestimated, and in every patient with elbow-distal humerus fracture or trauma the clinician should carefully evaluate everything from the bone to vascularity with a multidisciplinary approach involving orthopedic surgeons, radiologists, and vascular surgeons.
Conflict of interest statement
The authors declare no conflict of interest.
Funding
This research did not receive any specific grant from funding agencies in the public, commercial, or not-for-profit sectors.
Author contributions
FP, MB, LR, LT: writing - original draft.
All authors have read and agreed to the published version of the manuscript.
Ethical considerations
Not applicable.
History
Received: December 12, 2024
Accepted: January 5, 2026
Figures and tables
Figure 1.Diagram of arterial circulation of the elbow.
Figure 2.Right elbow X-ray at admittance in the emergency department.
Figure 3.Right elbow CT scan with 3D reconstruction at admittance in the emergency department.
Figure 4.CT angiography showed a humeral artery occlusion at the elbow.
Figure 5.X-ray after fracture reduction and stabilization with an external fixator.
References
- Houshian S, Mehdi B, Larsen MS. The epidemiology of elbow fracture in children: analysis of 355 fractures, with special reference to supracondylar humerus fractures. J Orthop Sci. 2001; 6:312-315. DOI
- Nordin A, Shi J, Kenney B. Pediatric supracondylar humerus fractures and vascular injuries: a cross-sectional study based on the National Trauma Data Bank. J Clin Orthop Trauma. 2020; 11:264-268. DOI
- Anjum R, Sharma V, Jindal R. Epidemiologic pattern of paediatric supracondylar fractures of humerus in a teaching hospital of rural India: A prospective study of 263 cases. Chin J Traumatol. 2017; 20:158-160. DOI
- Crean TE, Nallamothu SV. Distal humerus fractures. StatPearls Publishing. 2023.
- Mahajan NP, Prasanna Kumar PGS, Sakhare V. Closed humerus shaft and distal humerus fractures with associated brachial artery thrombosis in adult patients and its management – A case series. J Orthop Case Rep. 2021; 11:110-113. DOI
- Dogan A. Acute vascular complications in elbow injuries. Turkish J Trauma Emerg Surg. 2022.
- Flynn JM. Supracondylar fractures of the humerus in children: management strategies and complications. J Am Acad Orthop Surg. 2000.
- Phang ZH, MM. Blunt trauma to the antecubital fossa causing brachial artery injury and minor fractures around the elbow joint, an easily missed diagnosis with potential devastating consequences: a case report. J Med Case Rep. 2018; 12:211. DOI
- Harnarayan P, Cawich SO, Harnanan D. Brachial artery injury accompanying closed elbow dislocations. Int J Surg Case Rep. 2015; 8C:100-102. DOI
- Kontopodis N, Tosounidis T, Kehagias K. Concomitant vascular and orthopedic trauma: 10 points to consider. J Clin Orthop Trauma. 2024; 51:102407. DOI
Affiliations
License

This work is licensed under a Creative Commons Attribution-NonCommercial-NoDerivatives 4.0 International License.
Copyright
© © Ortopedici Traumatologi Ospedalieri d’Italia (O.T.O.D.i.) , 2025
How to Cite
- Abstract viewed - 372 times
- PDF downloaded - 51 times

