Intraarticular injection of autologous microfragmented adipose tissue in knee osteoarthritis (preliminary results)
Abstract
Objective. The aim of the study is to evaluate clinical and functional short-term outcomes in patients with mild-moderate knee osteoarthritis treated with intra-articular injection of autologous microfragmented adipose tissue. The results are analyzed considering body max index (BMI), Numeric Pain Rating Scale (NRS) and instrumental tests (X-ray, MRI).
Material and methods. 34 patients with mild or moderate knee osteoarthritis (stages I, II and III of the Kellgren-Lawrence grading scale) underwent joint injection with autologous microfragmented adipose tissue (MF-AT), from December 2022 to December 2024. All the patients were selected considering the level of pain (number rate scale, NRS), functional abilities assessed via the Western Ontario and McMaster University Osteoarthritis Index (WOMAC) at baseline, 6 months and 1 year. The results were analyzed considering age,
gender and imaging.
Results. The average value of the Womac score in 34 patients with knee osteoarthritis parameters decreased from 64.85 points pre-operatively to 44.97 points at 6 months, while 22 patients showed 47.95 points of mean Womac score at one year. The average NRS values went from 4.15 points pre-operatively to 2.79 points at 6 months and 3.55 points at one year.
Non-significant differences in terms of improvement of the Womac score and the NRS scale were found in patients of different ages, gender, and BMI. Twenty-one of 34 (62%) patients expressed total or almost total satisfaction in terms of functional improvement, pain relief and ability to climb stairs. The treated lipoaspirate of 6 patients (18%), after informed and written consent submission, was collected and cryopreserved at Lipobank (Lipobank srl Viale Bianca Maria 24 – 20129 Milan).
Conclusions. Intra-articular infiltration of autologous MF-AT is associated with a significant improvement in clinical and functional scores in patients with mild and moderate osteoarthritis at 6 months and 1 year of follow-up. Womac score and NRS were not significantly influenced by age, sex, or BMI. No adverse events were recorded during the procedure or post-operatively.
Introduction
For a long time, adipose tissue was considered an inert structure, with the main purpose of energy reserve. However, this vision was expanded about 20 years ago with the discovery of adipokines and, subsequently, of cellular stroma rich in multipotent mesenchymal stem cells 1. These cells, taken from processed lipoaspirate, can differentiate towards different cell lines: osteogenic, chondrogenic, adipogenic, and myogenic. Molecular biology studies have highlighted how the cells present in the lipoaspirate express CD markers typical of mesenchymal stem cells 2. These have been named adipose stem cells (ASCs); they quickly aroused considerable interest in regenerative medicine and orthopedics in case of subchondral damage or with moderate forms of arthritis for the knee joint 3. Osteoarthritis is a degenerative joint condition characterized by progressive loss of articular cartilage, subchondral bone changes, and synovial inflammation. Modern regenerative therapies aim to manage and improve symptoms and delay invasive surgical strategies, such as arthroplasty, as much as possible 4.
Since 2022 at the Orthopedics department of the Santa Maria Bianca hospital in Mirandola (AUSL of Modena), we have been using the lipoaspirate taken from the abdominal region, via liposuction, and processed via microfragmentation according to the standardized Lipogems® procedure (Lipogems International S.p.A). The processed product, approximately 7 mL, is immediately injected into the affected joint and if there is some product remaining, it can be sent to Lipobank® (Lipobank srl Viale Bianca Maria 24 – 20129 Milan) for bio-cryo-preservation.
Materials and methods
From December 2022 to December 2024, 34 patients with mild-moderate knee osteoarthritis (KOA) underwent a joint injection of microfragmented autologous adipose tissue (MF-AT). The adipose tissue was taken from the abdominal lipoaspirate by the plastic surgery team, whereas the subsequent preparation and processing phase involved the nurse and the orthopedic staff; the injection, associated or not with arthroscopy, was performed by the orthopedic surgeons of Santa Maria Bianca hospital in Mirandola (AUSL of Modena). The entire process is carried out under general/spinal locoregional anesthesia.
The diagnosis of knee OA was formulated considering the clinical aspects of each patient: symptoms for more than 6 months, presence of pain assessed via Numeric Pain Rating Scale (NRS) and radiographic imaging, classified by Kellegren-Lawrence (KL) grading system.
All patients underwent an MRI before the surgery to have a further estimate of the arthritic picture and of any meniscal lesions or any chondropathies using the Modified Outerbridge classification (Fig. 1). All those who underwent other articular injected therapies in the previous 3 months or knee surgery treatments in the previous 6 months were excluded. It was decided to evaluate the effectiveness of the treatment in terms of functionality using the Womac Score (The Western Ontario and McMaster Universities Osteoarthritis Index) which consists in 3 subscores used to classifying pain, stiffness and functionality, with a range from 0 to 56. A decreasing trend indicates improvement in functionality, pain, and stiffness reduction. The Womac score was proposed to patients before surgery and at the time of the follow-up assessment six months and one year after surgery.
Inclusion criteria
- OA of knee KL grade II-III
- MRI with full thickness lesion < 1 cm
- Failure of conservative treatments: oral non-steroidal anti-inflammatory drugs (NSAIDs), physio kinesiotherapy, intra-articular corticosteroids, hyaluronic acid, platelet rich plasma (PRP)
- Varus-valgus deformity < 10°
Exclusion criteria
- Obesity (BMI > 35 kg/m2) or with a deficit in fat mass
- Acute inflammation disease
- Articular steroid injection < 3 months
- Comorbidities such as diabetes, smoking, blood and coagulation disorders, ASA ≥ 3
- Patient with ongoing radiotherapy or chemotherapy
- Relative contraindications: KL grade IV
Patients
A total of 34 patients who had symptoms for more than 6 months and had already tried at least 2 non-conservative treatments (oral NSAIDs, physical therapy, corticosteroid injection, or viscosupplement injection), including 19 men and 15 women, were admitted to the study, with an age between 50 and 79 years; 53% had a grade II KOA according to KL, and 35% had grade III and 12% grade IV. Written informed consent was provided to each patient regarding sedation, surgical procedure and liposuction, with reference to processing, use and cryo-preservation. The treated lipoaspirate of 6 patients (18%) was collected and cryopreserved at Lipobank® (Lipobank srl Viale Bianca Maria 24 – 20129 Milan).
Withdrawal phase
A small incision is made below the navel; a 17 Gauge needle-cannula is inserted; the cannula is connected to a 60 mL louer-lock syringe which is filled with sterile Klein solution (composed of 4 vials of lidocaine 2 mg/mL, one vial of epinephrine 1 mg/ml and 500 cc of physiological solution). Approximately 150 mL of this solution is injected bilaterally into the subcutaneous tissue of the fan-shaped lower abdomen (Fig. 2). Ten minutes later the fat tissue can be taken by a liposuction mechanism, using a 13 Gauge needle cannula connected to a 20 mL Vaclock-type syringe (Fig. 3). At the end of the sampling, the passage is sutured with absorbable thread and a compressive abdominal girdle is made, which the patient will keep for 15 days.
Processing and injection of the fine needle aspiration
The lipoaspirate is processed using the Lipogems® system (Lipogems International S.p.A), obtaining the microfragmentation of the adipose tissue collected (Fig. 4); approximately 7 mL of the final product is injected in the joint with a common syringe and a 18 Gauge needle (Fig. 5).
The remaining material obtained from the processing can be cryopreserved, after written consensus, during the same operating session, according to the Lipobank® method (Lipobank srl Viale Bianca Maria 24 – 20129 Milan), with a Liposet closed-circuit procedural kit. The adipose tissue is collected in a special certified bag, and is stored in nitrogen vapor at controlled temperature. The cryopreserved tissue can be analyzed by in vitro studies (Fig. 6).
Statistical analysis
Descriptive statistics were computed for each analysed variable. Categorical variables were reported as absolute frequencies and percentages, whereas continuous numerical features were described using mean and standard deviation (SD). Comparison between baseline scores between gender was performed using a Student’s t test. The time trends of numerical scores (WOMAC and NRS) were investigated using univariable linear mixed effect models. Paired Student’s t-test were used to compare mean scores at different time points and between male and female patients. Results of these analyses were reported in terms of mean differences, with 95% confidence intervals (CI) and p values. Missing data were not imputed, and all analyses were performed on complete case data. The significance level alpha was set at 0.05. All analyses were carried out using R version 4.3.2 statistical software (The R Foundation for Statistical Computing, Austria, 2023).
Results
WOMAC and NRS at different timepoints are shown in Table I, which indicated differences between males and females at baseline Female patients had a higher average baseline WOMAC score compared to male patients (72.47 vs 58.84; Table II). The difference between genders in terms of NRS baseline score was not statistically significant.
WOMAC score was characterised by a significant reduction between baseline and month 6 (mean difference (MD): -19.8, p value < 0.001). This reduction was consistent in both males and females, and, even if female patients exhibited a more remarked decrease, the difference between sex was not statistically significant (MD: 7.62, p value = 0.178). There was no evidence of differences between WOMAC at time 6 months and WOMAC at time 12 months in the overall sample (MD: 3.23, p value = 0.286) or in each sex separately (Tab. II).
NRS score significantly declined between baseline and month 6 (MD: -1.33, p value = 0.001). This reduction was consistent in both men and women and no differences emerged. NRS slightly increased between month 6 and month 12 (MD: 0.82), but this difference was not significant (Tab. III).
Overall, both WOMAC and NRS were characterized by a decreasing trend between baseline and month 12 (Tab. IV).
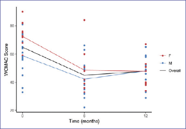
On average, WOMAC declined by 1.56 points per month (Fig. 7), whereas NRS declined by 0.06 points per month (Fig. 8). There were no significant differences between sex. However, female patients, who were characterized by a higher baseline WOMAC score, showed a slightly more remarked decline (MD: 1.14, p value = 0.055),
Discussion
Knee osteoarthritis is a debilitating condition that affects most of the population, especially with advancing age. While for severe high-grade forms partial or total replacement arthroplasty represents the gold standard, in mild-moderate forms various conservative strategies are preferred 5.
In the forms characterized by acute pain and inflammation, the first line is represented by oral NSAIDs, strongly recommended, which are often more effective than paracetamol alone, but potentially harmful at the renal and cardiovascular level in case of prolonged therapy. The Italian Society of orthopaedic and Traumatology (SIOT) recommends the use of NSAIDs for the shortest possible time, always associated with proton pump inhibitors (PPIs), or alternatively the use of selective COX-2 inhibitors 6. In the presence of chronic pain, conservative management employs pharmacological and/or rehabilitative treatments. Oral supplements based on glucosamine and chondroitin, already normally present in the articular cartilage, can be used in patients with mild grade of arthritis. In case of lack of response, the first line is joint infiltrative therapy with hyaluronic acid, preferably low molecular weight, which has been shown to have good medium and long-term efficacy for mild-moderate forms, in the absence of an acute inflammatory condition. However, a reduction in effectiveness was observed as cycles are repeated and the arthritic condition progresses, without evidence of cartilaginous regeneration. The second line therapy, in past years, has been represented by autologous biological preparations such as growth factor/platelet rich plasma (PRP), i.e. a small volume of plasma with a high concentration of autologous platelets, obtained by centrifugation of blood. Studies have shown an improvement in pain and functional indices after 1 year in forms of moderate osteoarthritis; however, no clear regenerative evidence was observed, and there is no unanimous consensus on the preparation and concentration of PRP. In the last decade, regenerative methods have further expanded, and the possibility of obtaining autologous multipotent mesenchymal cells from a simple lipoaspirate shows new perspectives for the management of moderate arthritic conditions.
We report our results on the treatment of knee arthritis with a single MF-AT infiltration with 6 months and 1 year follow-up. At 6 months one patient with grade IV KL KOA underwent a total knee arthroplasty implantation after the procedure, whereas 97% of the remaining patients (9 benefited from the combined treatment with arthroscopic debridement) showed an improvement in pain and functional indices. Six patients underwent a new MRI at 6 months, which showed no worsening of the cartilage damage, with evident improvements in the signs of inflammation. Furthermore, the MF-AT of 6 patients was cryopreserved at the Lipobank® to carry out chemical-biological analyses, with the possibility of a second infiltration cycle with autologous material, with no necessity of a new fat tissue sampling. At one year, we repeated clinical evaluation and questionnaires, and 22 patients responded, comparing the data at 6 months and 1 year, both in terms of functionality and pain management. The results were almost comparable and stable. Of the patients interviewed at 1 year, none required surgery or other conservative treatments.
Recent clinical studies have demonstrated the safety and effectiveness of microfragmented fat tissue; Russo et al. 7 studied 30 patients treated with MF-AT and arthroscopy for chondral lesions, at 3 years of follow-up, demonstrating that 22 patients did not require further treatment and did not experience adverse effects. Panni et al. 8 studied 52 patients with mild-moderate KOA treated with arthroscopy and MF-AT, showing a 96% improvement in pain and function. Hong et al. 9, conducted a double-blind, randomized study on 16 patients with bilateral KOA, comparing, in the same patients, treatment with 4 ml of SVF derived from adipose tissue in one knee and with 40 mg hyaluronic acid in the contralateral one. The results of their study show that treatment with SVF is safer and more effective in reducing pain and improving function. Furthermore, at 1 year, a regenerative benefit on the cartilage defect was observed in patients with moderate chondropathy, which was not observed in those treated with hyaluronic acid.
Limitations
First, the sample size, especially at one year, was small, with a lack of a control group throughout the entire study. Second, the follow-up period at 6 and 12 months is too short to understand the long-term effects of MF-AT. Often previous conservative treatments were not well reported by patients, such as NSAIDs, CCSc, hyaluronic acid, PRP. This study did not consider the different functional demands and lifestyles of patients before and after treatment. Patients were not discriminated based on the intensity of their physical and sports activities.
Conclusions
Intra-articular infiltration of autologous MF-AT is associated with a significant improvement in clinical and functional scores at 6 months and 1 year in patients with mild and moderate osteoarthritis. Womac score and NRS are not significantly influenced by age, sex, or BMI. No adverse events were recorded during the procedure or post-operatively. The hope is that treatment with MF-AT slows the evolution of osteoarthritis, and therefore the necessity of a prosthetic replacement of the knee. Actually, the possible regenerative benefit in cases of mild-moderate cartilage damage has not yet been demonstrated, but and the possibility of multiple injection sessions with cryopreserved autologous microfragmented adipose tissue could be a new strategy. Therefore, biocryopreservation could represent a new therapeutic avenue.
Acknowledgements
Thanks to Dr. Riccardo Cuoghi Constantini for the processing and statistical analysis of the data.
Conflict of interest statement
The authors declare no conflict of interest.
Funding
This research did not receive any specific grant from funding agencies in the public, commercial, or not-for-profit sectors.
Author contributions
The Authors contributed equally to the work.
Ethical consideration
The research was conducted ethically, with all study procedures being performed in accordance with the requirements of the World Medical Association’s Declaration of Helsinki. Written informed consent was obtained from each patient for study participation and data publication. In compliance with privacy, both the data processing and the subsequent publication do not contain sensitive data. For these reasons, no other ethical approval was needed.
History
Received: February 4, 2025
Accepted: September 8, 2025
Figures and tables
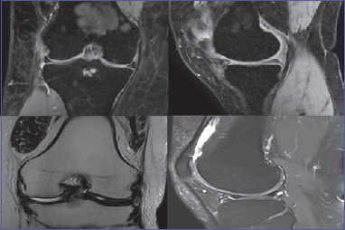
Figure 1.Preoperative MRI.
Figure 2.Infiltration of Klein’s solution at the level of the abdominal adipose tissue.
Figure 3.Liposuction of abdominal adipose tissue.
Figure 4.Processing of lipoaspirate with the Lipogems® kit.
Figure 5.Autologus microfragmented adipose tissue (MF-AT) and knee joint infiltration.
Figure 6.Autologus microfragmented adipose tissue (MF-AT) storage to Lipobank®.
Figure 7.WOMAC as function of time and gender. Each point represents an observed data, whereas the solid line connects the mean of each timepoint. M: male; F: female.
Figure 8.NRS as function of time and sex. Each point represents an observed data, whereas the solid line connects the mean of each timepoint. M: male; F: female.
| Baseline | Month 6 | Month 12 | ||||||||
|---|---|---|---|---|---|---|---|---|---|---|
| Sample | Score | N | Mean | SD | N | Mean | SD | N | Mean | SD |
| All | WOMAC | 34 | 64.85 | 13.19 | 33 | 44.97 | 12.14 | 22 | 47.95 | 11.61 |
| NRS | 34 | 4.15 | 1.35 | 33 | 2.79 | 1.27 | 22 | 3.55 | 1.41 | |
| M | WOMAC | 19 | 58.84 | 13.35 | 19 | 42.32 | 11.44 | 12 | 48.08 | 13.06 |
| NRS | 19 | 4.26 | 1.56 | 19 | 2.95 | 1.27 | 12 | 3.67 | 1.30 | |
| F | WOMAC | 15 | 72.47 | 8.35 | 14 | 48.57 | 12.56 | 10 | 47.80 | 10.32 |
| NRS | 15 | 4.00 | 1.07 | 14 | 2.57 | 1.28 | 10 | 3.40 | 1.58 | |
| SD: standard deviation; M: male; F: female. | ||||||||||
| Baseline | |||||
|---|---|---|---|---|---|
| Score | Sex | N | Mean | SD | p value |
| WOMAC | M | 19 | 58.84 | 13.35 | 0.022 |
| F | 15 | 72.47 | 8.35 | ||
| NRS | M | 19 | 4.26 | 1.56 | 0.353 |
| F | 15 | 4.00 | 1.07 | ||
| Score | Comparison between time points | Estimate | 95% CI | p value | |
|---|---|---|---|---|---|
| WOMAC | Mean variation between month 6 and baseline | -19.76 | -25.63 | -13.89 | < 0.001 |
| Mean variation between month 6 and baseline in M | -16.53 | -25.25 | -7.81 | 0.001 | |
| Mean variation between month 6 and baseline in F | -24.14 | -32.01 | -16.28 | < 0.001 | |
| Difference in variation between month 6 and baseline between M and F | 7.62 | -3.64 | 18.88 | 0.178 | |
| Mean variation between month 12 and month 6 | 3.23 | -2.91 | 9.36 | 0.286 | |
| Mean variation between month 12 and month 6 in M | 7.08 | -2.94 | 17.11 | 0.148 | |
| Mean variation between month 12 and month 6 in F | -1.40 | -8.50 | 5.70 | 0.666 | |
| Difference in variation between month 12 and month 6 between M and F | 8.48 | -3.10 | 20.07 | 0.142 | |
| NRS | Mean variation between month 6 and baseline | -1.33 | -2.09 | -0.57 | 0.001 |
| Mean variation between month 6 and baseline in M | -1.32 | -2.45 | -0.18 | 0.026 | |
| Mean variation between month 6 and baseline in F | -1.36 | -2.46 | -0.26 | 0.019 | |
| Difference in variation between month 6 and baseline between M and F | 7.62 | -3.64 | 18.88 | 0.178 | |
| Mean variation between month 12 and month 6 | 0.82 | -0.04 | 1.68 | 0.062 | |
| Mean variation between month 12 and month 6 in M | 1.00 | -0.46 | 2.46 | 0.160 | |
| Mean variation between month 12 and month 6 in F | 0.60 | -0.48 | 1.68 | 0.239 | |
| Difference in variation between month 12 and month 6 between M and F | 8.48 | -3.10 | 20.07 | 0.142 | |
| CI: confidence intervals; M: male; F: female. | |||||
| Outcome | Time trend | Estimate | 95% CI | p value | |
|---|---|---|---|---|---|
| WOMAC | Mean monthly variation | -1.56 | -2.15 | -0.98 | < 0.001 |
| Mean monthly variation in M | -1.06 | -1.87 | -0.25 | 0.013 | |
| Mean monthly variation in F | -2.19 | -2.91 | -1.46 | 0.000 | |
| Difference in monthly variation between M and F | 1.14 | 0.00 | 2.28 | 0.055 | |
| NRS | Mean monthly variation | -0.06 | -0.13 | 0.00 | 0.048 |
| Mean monthly variation in M | -0.06 | -0.15 | 0.02 | 0.153 | |
| Mean monthly variation in F | -0.06 | -0.16 | 0.03 | 0.169 | |
| Difference in monthly variation between M and F | 0.00 | -0.13 | 0.13 | 0.989 | |
| CI: confidence intervals; M: male; F: female. | |||||
References
- Screpis D, Natali S, Farinelli L. Autologous microfragmented adipose tissue for the treatment of knee osteoarthritis: real-world data at two years follow-up. J Clin Med. 2022; 11:1268. DOI
- Zuk PA, Zhu M, Ashjian P. Human adipose tissue is a source of multipotent stem cells. Mol Biol Cell. 2002; 13:4279-4295. DOI
- Bunnell BA. Adipose tissue-derived mesenchymal stem cells. Cells. 2021; 10:3433. DOI
- Filardo G, Tschon M, Perdisa F. Micro-fragmentation is a valid alternative to cell expansion and enzymatic digestion of adipose tissue for the treatment of knee osteoarthritis: a comparative preclinical study. Knee Surg Sports Traumatol Arthr. 2022; 30:773-781. DOI
- Heidari N, Noorani A, Slevin M. Patient-centered outcomes of microfragmented adipose tissue treatments of knee osteoarthritis: an observational, intention-to-treat study at twelve months. Stem Cells Int. 2020; 2020:8881405. DOI
- Pesare E, Vicenti G, Kon E. Italian Orthopaedic and Traumatology Society (SIOT) position statement on the non-surgical management of knee osteoarthritis. J Orthop Traumatol. 2023; 24:47. DOI
- Russo A, Condello V, Madonna V. Autologous and micro-fragmented adipose tissue for the treatment of diffuse degenerative knee osteoarthritis. J Exp Orthop. 2017; 4:33. DOI
- Schiavone Panni A, Vasso M, Braile A. Preliminary results of autologous adipose-derived stem cells in early knee osteoarthritis: identification of a subpopulation with greater response. Int Orthop. 2019; 43:7-13. DOI
- Hong Z, Chen J, Zhang S. Intra-articular injection of autologous adipose-derived stromal vascular fractions for knee osteoarthritis: a double-blind randomized self-controlled trial. Int Orthop. 2019; 43:1123-1134. DOI
Affiliations
License

This work is licensed under a Creative Commons Attribution-NonCommercial-NoDerivatives 4.0 International License.
Copyright
© © Ortopedici Traumatologi Ospedalieri d’Italia (O.T.O.D.i.) , 2025
How to Cite
- Abstract viewed - 776 times
- PDF downloaded - 136 times

