The use of custom-made bone struts in giant cell tumor management
Abstract
Objective. Giant cell tumor (GCT) is a benign but locally aggressive neoplasm that typically affects the epiphyses of long bones. Surgical resection with curettage remains the standard treatment; however, managing lesions in critical anatomical sites poses unique challenges.
Methods. This study reports the case of a 20-year-old male diagnosed with GCT located in the femoral neck and head. The patient underwent lesion curettage, application of local adjuvants, and bone grafting, including the placement of a custom-made cephalic screw derived from a bone bank to reinforce Ward’s triangle. The cephalic screw, aligned with force transmission lines, was used to prevent head collapse and iatrogenic fractures due to overload. The patient demonstrated satisfactory postoperative recovery, and long-term follow-up (3 months) revealed excellent bone integration of the screw (already evident at 6 months) and no recurrence of tumor. This bone reconstruction approach represents a valuable option to treat bone tumors.
Conclusions. Our experience confirms the efficacy and safety of bone screw implantation using banked bone material in treating GCT of the femur. This approach improves long-term outcomes and enhances patients’ quality of life.
Introduction
Giant cell tumor (GCT) is a benign yet locally aggressive neoplasm that predominantly affects the epiphyses of long bones. Although surgical resection with curettage is the standard treatment, managing lesions in critical sites such as the femoral neck presents unique challenges, including recurrence risk and structural bone compromise. We present a case of GCT managed with a robust surgical approach integrating local adjuvants and structural reinforcement.
Materials and methods
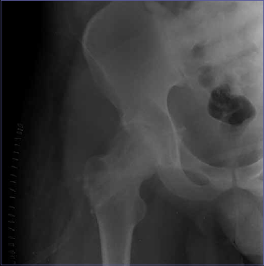
This case involves a 28-year-old male presenting with progressive right hip pain. Radiological investigations (contrast-enhanced magnetic resonance imaging [MRI] and computed tomography [CT]) and biopsy confirmed the diagnosis of GCT in the femoral neck and head. No signs of metastases or soft tissue involvement were detected (Figs. 1-3).
The patient was positioned in a supine decubitus position on a Maquet table, followed by disinfection with an alcoholic solution and iodopovidone. A direct approach to the greater trochanter was performed, and under fluoroscopic guidance meticulous curettage of the lesion was conducted, followed by the application of local adjuvants to minimize the risk of recurrence. To address structural weakness and potential fractures, we utilized custom-made cephalic screws reinforced with Ward’s triangle and integrated them with banked bone grafts (Figs. 4-5).
Postoperatively, the patient followed a personalized rehabilitation program, including gentle physiotherapy and hydrotherapy to promote healing and recovery of strength without excessive joint stress. During the first three months of follow-up, the patient adhered to a non-weight-bearing regimen, using two crutches to avoid stress on the operated area. Follow-up assessments were conducted at 3, 6, and 12 months.
Results
At 3 months
At the first follow-up visit, hip and chest CT scans, along with contrast-enhanced MRI, showed no evidence of tumor recurrence and good bone graft integration. The patient was allowed to begin progressive weight-bearing, transitioning from two crutches to 50% weight-bearing at one month, 70% at two months, and full weight-bearing at three months (Fig. 6).
At 6 months
The patient demonstrated significant recovery, reporting complete absence of pain (Numeric Rate Pain Scale [NRS]: 0) and excellent outcomes in both active and passive functional tests, indicating optimal hip mobility recovery. Functional tests included:
- Thomas Test (assessing hip muscle flexibility and contractures);
- FABER Test (Flexion, ABduction, and External Rotation; evaluating the sacroiliac joint, hip and lower abdominal dysfunctions);
- Active and passive range of motion (ROM) tests for flexion, extension, abduction, adduction, and internal/external rotations;
- Manual muscle strength testing (scale 0-5).
The patient demonstrated normal flexibility, completed the FABER test without pain (indicating no dysfunction), achieved full ROM without restrictions, and scored 5/5 in all muscle groups, highlighting complete recovery of strength.
The Harris Hip Score (HHS) was used to assess postoperative outcomes, considering pain, function, deformity absence, and ROM. The patient achieved a near-maximum score, reflecting excellent hip functionality and quality of life.
Subsequent follow-ups included additional contrast-enhanced MRI and chest CT, all confirming the absence of recurrence and complete graft integration. Chest radiographs were performed as a precautionary measure to monitor lung health, given the known risk of pulmonary metastases in GCT, despite the low risk in non-metastatic cases (Fig. 7).
At the final 12-month follow-up, the patient exhibited complete functional recovery, no pain, no peripheral neurovascular deficits, and full resumption of daily activities without restrictions. Imaging studies confirmed structural stability and no radiological signs of tumor recurrence.
This rigorous follow-up strategy, combined with comprehensive radiological documentation, was crucial in monitoring the patient’s response to treatment, optimizing rehabilitation activities, and ensuring optimal outcomes. The success of this case reflects not only functional recovery and excellent quality of life, but also demonstrates the efficacy of a targeted surgical strategy and personalized follow-up plan to manage GCT in anatomically complex locations.
Discussion
This multidisciplinary approach to treat GCT in a critical location highlights the importance of an integrated therapeutic strategy combining advanced surgical techniques with a rigorous rehabilitation and postoperative monitoring program. Achieving complete functional recovery without recurrence underscores the potential of this personalized approach in managing complex bone lesions.
Conclusions
The treatment of GCT located in the femoral neck and head through curettage, local adjuvants, reinforcement with cephalic screws, and bone grafting has proven to be an effective approach, enabling complete functional recovery without short-term recurrence. Notably, the innovative use of bone screws to reinforce Ward’s triangle offers a significant advantage over traditional titanium or carbon-based fixation methods, as it integrates seamlessly into the bone environment.
The superior quality of radiological imaging facilitated by this technique allows for more accurate postoperative evaluation, significantly enhancing the ability to monitor tumor recurrence. The absence of radiological artifacts associated with synthetic fixation materials enabled greater diagnostic accuracy in assessing bone healing and potential recurrence of GCT.
In conclusion, our experience underscores the value of integrating biocompatible materials, such as bone screws, in the surgical management of bone tumors, combining therapeutic success with optimized postoperative monitoring practices. This approach ensures excellent functional and structural outcomes while significantly improving the quality of long-term follow-up.
Conflict of interest statement
The authors declare no conflict of interest.
Funding
This research did not receive any specific grant from funding agencies in the public, commercial, or not-for-profit sectors.
Author contributions
All authors contribuited equally to the work.
Ethical consideration
Not applicable.
History
Received: March 10, 2025
Accepted: April 7, 2025
Figures and tables
Figure 1.FEMUR PET - TC.
Figure 2.PELVIS SCOUT SCAN TC.
Figure 3.RIGHT HIP RX.
Figure 4.RIGHT HIP RX FOCUS.
Figure 5.PELVIS AND HIP CT.
Figure 6.MRI - ASSIAL SECTION 3 months.
Figure 7.MRI 6 months.
References
- Basu Mallick A, Chawla SP. Giant cell tumor of bone: an update. Curr Oncol Rep. 2021; 23:51. DOI
- Cheng EY, Thompson RC. Proximal femoral replacement. Am J Orthop (Belle Mead NJ). 2002; 31:193-198.
- Gillman CE, Jayasuriya AC. FDA-approved bone grafts and bone graft substitute devices in bone regeneration. Mater Sci Eng C Mater Biol Appl. 2021; 130:112466. DOI
- Hughes-Fulford M, Li CF. The role of FGF-2 and BMP-2 in regulation of gene induction, cell proliferation and mineralization. J Orthop Surg Res. 2011; 6:8. DOI
- Jamshidi K, Shooshtarizadeh T, Bahrabadi M. Chondrosarcoma in metachondromatosis: a rare case report. Acta Med Iran. 2017; 55:793-799.
- Mamtani M, Kulkarni H. Bone recovery after zoledronate therapy in thalassemia-induced osteoporosis: a meta-analysis and systematic review. Osteoporos Int. 2010; 21:183-187. DOI
- Medalha CC, Amorim BO, Ferreira JM. Comparison of the effects of electrical field stimulation and low-level laser therapy on bone loss in spinal cord-injured rats. Photomed Laser Surg. 2010; 28:669-674. DOI
- Messner J, Harwood P, Johnson L. Lower limb paediatric trauma with bone and soft tissue loss: Ortho-plastic management and outcome in a major trauma centre. Injury. 2020; 51:1576-1583. DOI
- Sánchez-Garcés MÀ, Alvira-González J, Sánchez CM. Bone regeneration using adipose-derived stem cells with fibronectin in dehiscence-type defects associated with dental implants: an experimental study in a dog model. Int J Oral Maxillofac Implants. 2017; 32:E97-E106. DOI | PubMed
- Silk Z, Vris A. Novel method to create a bespoke cement spacer for use in the management of segmental long-bone defects. Ann R Coll Surg Engl. 2019; 101:530-532. DOI
- Schmidt AH. Autologous bone graft: is it still the gold standard. Injury. 2021; 52:S18-S22. DOI
- Taylor BC, French BG, Fowler TT. Induced membrane technique for reconstruction to manage bone loss. J Am Acad Orthop Surg. 2012; 20:142-150. DOI
- van Oosterwijk JG, de Jong D, van Ruler MA. Three new chondrosarcoma cell lines: one grade III conventional central chondrosarcoma and two dedifferentiated chondrosarcomas of bone. BMC Cancer. 2012; 12:375. DOI
- Wang H, Ji B, Liu XS. Osteocyte-viability-based simulations of trabecular bone loss and recovery in disuse and reloading. Biomech Model Mechanobiol. 2014; 13:153-166. DOI
- Yang HQ, Qu L. Ilizarov bone transport technique. Zhongguo Gu Shang. 2022; 35:903-907. DOI
Affiliations
License

This work is licensed under a Creative Commons Attribution-NonCommercial-NoDerivatives 4.0 International License.
Copyright
© © Ortopedici Traumatologi Ospedalieri d’Italia (O.T.O.D.i.) , 2025
How to Cite
- Abstract viewed - 725 times
- PDF downloaded - 64 times

