Treatment of a multi-ligament knee injury in a patient with Parkinson’s disease. A case report
Abstract
Multi ligament knee injury can be associated or not with knee dislocation. Among irreducible knee dislocations, postero-lateral (PL) dislocations are the most common, with a higher rate of complications. We report on 63-year-old patient, with severe Parkinson’s disease, who had a traumatic PL knee dislocation with a multi-ligament knee injury. After a failed reconstruction procedure, due to severe dyskinesias (uncontrollable and involuntary muscular movements), the knee was still unstable, and a hinged total knee replacement was performed. PL dislocations can lead to very serious knee instability. Some conditions, like Parkinson’s disease, can complicate the treatment. A hinged prosthesis, although not representing the gold standard, can be considered as an alternative in complicated and highly selected cases, when repair or reconstruction is not possible.
Introduction
Multi-ligament knee injuries (MLKI) are lesions, complete or partial, at clinical and/or stress x-ray exam, of at least two of the major knee ligaments: the medial collateral ligament (MCL) and the posteromedial corner, the lateral collateral ligament (LCL) and the posterolateral corner, the anterior cruciate ligament (ACL), the posterior cruciate ligament (PCL) 1. These are very serious injuries with a high rate of associated complications 2. MLKI can be associated or not with knee dislocation. When knee dislocation occurs, treatment includes, in emergency, reduction, stabilization and management of vascular and nervous damage. The reconstruction can be performed in different ways with acute, staged or delayed surgery. Among irreducible knee dislocations, the postero-lateral (PL) are the most common with high percentage of complications 3. We report on a 63-year-old patient, with severe Parkinson’s disease who had a multi ligament injury of the left knee due to traumatic knee dislocation. After an attempt of staged ligaments reconstruction, due to severe dyskinesias, the knee was still unstable, and our strategy changed to a prosthetic replacement with hinged knee prosthesis.
Description of the case report
We report a case of a 63-year-old man who arrived at the emergency department complaining pain, joint blockage and inability to weight bearing after a trauma (hit by a tree trunk). Comorbidities were HBV and severe Parkinson’s disease with severe dyskinesias (uncontrollable and involuntary movements) and muscular stiffness. The patient was under chronic infusion therapy with apomorphine for his disease.
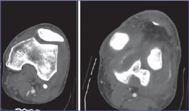
On inspection, the knee was swollen, an anatomical deformity with 90° knee flexion was noted. The patient did not complain of paresthesia or sensory deficits. The limb was warm and with palpable pulses. X-ray exam showed a PL knee dislocation (Fig. 1). Closed reduction and immobilization with posterior brace were performed, under conscious sedation, in the emergency department. Neurovascular status was closely monitored. Angio-CT scan was performed to exclude vascular injuries (Fig. 2). The patient was hospitalized. Neurovascular status, skin condition and clinical parameters were strictly monitored. The knee was unstable with persistent PL subluxation, worsened by dyskinesias, and both varus and valgus instability. The lesion was classified as a grade IV KD of Knee Dislocation Classification System. A staged multi-ligament reconstruction in two steps was planned: acute reparation of MCL and LCL and a staged reconstruction of both ACL and PCL. A neurologist was consulted to optimize the patient’s therapy with the aim of reducing the risk of recurrence. After 3 days we performed an acute surgical reparation of both the MCL and LCL. A 30° locked knee brace was placed. Postoperative X-rays exam (Fig. 3) showed perfect knee reduction. On the fifth postoperative day the patient was discharged with home care and an outpatient controls program. We planned to unlock the brace after 25 days, check the ligament status and then perform a knee MRI in order to plan an ACL-LCL reconstruction within 2 months. After 25 days, patient came to the outpatient department to unlock the brace. We noticed a relapse of PL subluxation with varus-valgus instability and failure of the MC and LCL reparation. The main causes of failure were the persistent and violent dyskinesias, due to Parkinson disease. In this context, plan a staged reconstruction would have been at high risk of another ligament failure. Thus, we talked with patient, and changed the strategy. Three months after the injury the patient was hospitalized and underwent, in general anesthesia, a total knee replacement with a hinged prosthesis (Fig. 4). We choose a hinged prosthesis to make the implant as stable as possible to resist dyskinesias. Postoperative anemia was observed, requiring the transfusion of 2 concentrated red blood cell units. No other postoperative complication was observed. From the day after surgery the patient started active and passive mobilization of the knee and a re-education protocol with full weight bearing. The patient was discharged on the 7th postoperative day to continue rehabilitation. Clinical and radiographic controls were performed at 3, 6, 12 months and then annual follow-up. At the last follow-up (3 years) the patient was walking without crutches, with full ROM, no pain and the same level of activity as before the injury (Fig. 5).
Discussion
All authors recommend, in case of knee dislocation, emergency reduction and stabilization with braces, plaster casts or, in selected cases, with an external fixator. Immediate treatment of vascular or nervous damage, if present, is recommended 1,2. Timing and strategy of reparation/reconstruction in MLKI and KD are still debated topics. The latest guidelines recommend surgical treatment of ligament injuries that can be acute, delayed or staged 1,2. The results are generally satisfactory 4 although a high percentage of cases (80-84% according to the meta-analysis of Klasan et al. 5) can expect early knee deterioration after 2 years. If MLKIs are a therapeutic challenge, among them, posterior dislocations are even more so, because of a higher risk of recurrence. In our case, Parkinson’s disease, with persistent uncontrollable and involuntary movements, represents a condition that can lead to surgical failure. There is little literature regarding treatment after failure of ligament reparation/reconstruction surgery in MLKI, in cases with Parkinson’s disease. In our case, a hinged prosthesis was chosen because of age, functional requests, comorbidities and because of the high stability of implant, with a good result. Hinged prostheses, although not representing the gold standard, can be considered as an alternative in complicated and highly selected cases where ligament reconstruction is not possible.
Conflict of interest statement
The authors declare no conflict of interest.
Funding
This research did not receive any specific grant from funding agencies in the public, commercial, or not-for-profit sectors.
Author contributions
GC: surgical treatment and article revision; DG: emergency and outpatient controls; ES: data collection and bibliography research; LC: writing, layout and final revision.
Ethical consideration
An informed consent to the publication of clinical history, radiological images and medical conditions and treatments concerning the case report was acquired from the patient after an extended information made by medical doctors.
History
Received: July 31, 2025
Accepted: September 7, 2025
Figures and tables
Figure 1.Knee X Ray at emergency department.
Figure 2.Angio CT scan at emergency department.
Figure 3.Postoperative X-Ray after MCL and LCL reparation.
Figure 4.Postoperative X-Ray after second surgery.
Figure 5.Clinical outcome at 3 years follow-up.
References
- Murray IR, Makaram NS, Geeslin AG. Multiligament knee injury (MLKI): an expert consensus statement on nomenclature, diagnosis, treatment and rehabilitation. Br J Sports Med. 2024; 58:1385-1400. DOI
- Ng JWG, Myint Y, Ali FM. Management of multiligament knee injuries. EFORT Open Rev. 2020; 5:145-155. DOI
- Malik SS, Osan JK, Aujla R. A systematic review on management and outcome of irreducible knee dislocations. Orthop Traumatol Surg Res. 2022; 108:103415.
- Boos AM, Wang AS, Hevesi M. Long-term outcomes after surgical reconstruction of multiligamentous knee injuries: results at minimum 10-year follow-up. Orthop J Sports Med. 2024; 12:23259671231223188. DOI
- Klasan A, Maerz A, Putnis SE. Outcomes after multiligament knee injury worsen over time: a systematic review and meta-analysis. Knee Surg Sports Traumatol Arthrosc. 2025; 33:1281-1298. DOI
License

This work is licensed under a Creative Commons Attribution-NonCommercial-NoDerivatives 4.0 International License.
Copyright
© © Ortopedici Traumatologi Ospedalieri d’Italia (O.T.O.D.i.) , 2025
How to Cite
- Abstract viewed - 602 times
- PDF downloaded - 25 times


