Wrist arthrodesis can provide strong grip strength and stable function after distal radius GCT resection, but at the cost of wrist motion
Abstract
Wrist arthrodesis is a well-established and widely used reconstructive strategy following resection of a giant cell tumor (GCT) of the distal radius, particularly for aggressive or recurrent lesions. This literature review explored the functional outcomes and stability associated with this procedure.
The research, which included the analysis of 50 relevant studies, consistently demonstrated that arthrodesis provides reliable oncological control and effectively restores grip strength (generally 65-74% of the contralateral side) and mechanical stability. Despite the complete sacrifice of wrist flexion and extension, most patients maintain adequate forearm rotation, which allows them to perform the majority of daily activities.
The reported functional scores are generally excellent (MSTS scores ranging from 22 to 29), and DASH and PRWE scores indicate minimal disability and high patient satisfaction.
Arthrodesis is often preferred in patients with high functional demands or those engaged in heavy manual labor.
The main disadvantage is the permanent loss of motion, but this limitation is compensated by durable stability and the absence of pain. In conclusion, wrist arthrodesis is an effective and reliable solution for functional restoration, balancing oncological safety with robust hand function. The final choice of reconstruction must be personalized based on the tumor grade and the patient’s needs.
Introduction
Wrist arthrodesis represents one of the most frequently employed reconstructive strategies following en bloc resection of the distal radius for giant cell tumor (GCT), particularly in aggressive or recurrent presentations. The procedure aims to ensure local tumor control while simultaneously restoring hand function and providing a stable, pain-free wrist. A considerable body of literature, including both single-center experiences and larger series, has investigated the functional outcomes of wrist arthrodesis, frequently in comparison with joint-preserving alternatives such as arthroplasty or vascularized/non-vascularized fibular grafting. Overall, the evidence consistently indicates that arthrodesis offers reliable restoration of grip strength and stability, is associated with high patient satisfaction, and demonstrates a low risk of local recurrence, although at the cost of complete loss of wrist flexion and extension 2,4-7,11,14,16. Functional outcomes measured by MSTS, DASH, and PRWE scores are generally rated as good to excellent. Importantly, most patients recover adequate hand function and forearm rotation, supporting arthrodesis as a dependable reconstructive option for high-grade or recurrent distal radius GCT.
Methods
A comprehensive literature search was performed through consensus, encompassing databases including Semantic Scholar, PubMed, and additional indexed sources, covering more than 170 million research papers. The initial search yielded 1,003 studies, of which 419 underwent screening. After eligibility assessment, 264 studies were retained, and the 50 most relevant were included in this review (Tab. I).
Eight unique search strategies were used, focusing on functional outcomes, grip strength, patient-reported outcomes, and comparative studies of wrist arthrodesis after resection for distal radius GCT.
Results
Functional scores and grip strength
Wrist arthrodesis following distal radius GCT resection consistently demonstrates favorable functional outcomes. Reported Musculoskeletal Tumor Society (MSTS) scores typically range from 22 to 29 of 30, while Disabilities of the Arm, Shoulder and Hand (DASH) scores remain low, indicating minimal disability 2,4,6,7,11,16. Grip strength is generally restored to 65-74% of the contralateral side, which is superior to most joint-preserving reconstructions 2,4,5,14,16.
Range of motion and forearm function
Although wrist flexion and extension are sacrificed, forearm pronation and supination are largely preserved. Reported mean arcs range from 80° to 130°, enabling patients to maintain adequate rotational function 2,5,14,16. This preservation allows individuals to perform the majority of daily activities despite the fused wrist.
Patient satisfaction and return to activity
Patient-reported outcomes consistently indicate high satisfaction levels, low pain scores, and the ability to resume preoperative activity. Both MSTS and Patient-Rated Wrist Evaluation (PRWE) scores confirm good functional adaptation following fusion 2,7,14,16. Arthrodesis is often preferred in patients with high functional demands or those engaged in heavy manual labor 6,9.
Complications and oncologic control
Reported complication rates are moderate and include nonunion, infection, and hardware-related problems. However, local recurrence rates remain low, frequently below 5% 2,6,7,11,13,16. Arthrodesis has proven to be effective for local tumor control, particularly in Campanacci grade III or recurrent lesions (Tabs. II-III).
Discussion
Wrist arthrodesis remains a robust and widely accepted reconstructive option following distal radius GCT resection, offering predictable restoration of grip strength, mechanical stability, and high levels of patient satisfaction. Evidence from comparative studies and meta-analyses indicates that, although joint-preserving reconstructions may provide a greater arc of wrist motion, they are frequently associated with long-term drawbacks such as instability, persistent pain, and reduced grip strength 4,6,18. In contrast, arthrodesis eliminates wrist motion but ensures a stable and pain-free platform for hand function, which is particularly advantageous in patients with high physical demands, those engaged in heavy labor, or in cases of extensive bone loss 6,9,14. Importantly, most patients adapt well to the fused wrist, preserving adequate forearm pronation and supination and regaining strong hand function, which allows a satisfactory return to activities of daily living 2,7,14,16.
Nevertheless, arthrodesis is not without limitations. The permanent loss of wrist motion can be functionally restrictive for selected patients, particularly those requiring fine motor movements or greater wrist flexibility in daily or occupational tasks. Furthermore, complication rates, including nonunion, infection, and hardware-related problems, remain clinically relevant and must be considered during surgical planning 6,10,13. Functional outcomes measured by MSTS, DASH, and PRWE scores are generally rated from good to excellent; however, some series report slightly superior results with motion-preserving reconstructions, albeit at the expense of higher recurrence rates and mechanical instability 6,10,18.
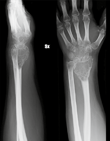
Overall, the choice between arthrodesis and joint-preserving procedures should be individualized, balancing oncologic safety with functional expectations. Factors such as tumor grade, local bone involvement, patient age, occupational demands, and long-term priorities play a decisive role in guiding reconstruction strategy 6,9,14. This tailored approach ensures that surgical management not only secures tumor control, but also provides the most functional and durable outcome for each patient. In Figures 1-3 we present an example case of 28-year-old man with a distal radius GCT resected after denosumab medical treatment and reconstructed with an arthrodesis with microsurgical free fibula (Tab. IV, Figs. 1-3).
Conclusions
Wrist arthrodesis following distal radius GCT resection provides consistent restoration of grip strength, mechanical stability, and high patient satisfaction, making it a dependable reconstructive solution. It is particularly indicated in high-grade or recurrent tumors, where oncologic control is paramount, and in patients with demanding functional requirements such as manual laborers or those engaged in physically intensive activities. Although the permanent loss of wrist motion represents the major trade-off, the majority of patients adapt well, maintaining satisfactory hand dexterity and preserved forearm rotation, which allow them to perform most daily and occupational tasks without significant limitations.
Despite these strengths, further investigation is warranted. Current evidence is largely derived from retrospective case series and heterogeneous cohorts, which limits direct comparability. Future research should emphasize long-term, prospective, multicenter studies that compare wrist arthrodesis with joint-preserving reconstructions using standardized functional assessment tools and validated patient-reported outcome measures. Quality-of-life data, in particular, remain underrepresented and should be integrated into future analyses to capture the full impact of motion sacrifice versus functional stability.
In conclusion, wrist arthrodesis stands as a reliable and effective option for functional restoration after distal radius GCT resection. It consistently provides strong grip strength and durable stability, albeit at the expense of wrist mobility. Ultimately, the choice of reconstruction must be individualized, taking into account tumor grade, extent of bone resection, patient age, lifestyle, and expectations, in order to achieve the best balance between oncologic safety and functional recovery.
Conflict of interest statement
The authors declare no conflict of interest.
Funding
This research did not receive any specific grant from funding agencies in the public, commercial, or not-for-profit sectors.
Author contributions
PP, MB, CB: conceptualization, methodology, software, formal analysis, data curation, writing – review and editing, project administration; UA, EB, SM, RP: validation, resources, visualization, supervision; LF, AF, NR, MR: investigation, writing – original draft preparation. All authors have read and agreed to the published version of the manuscript.
Ethical consideration
Not applicable.
History
Received: October 26, 2025
Accepted: January 5, 2026
Figures and tables
Figure 1.Male 28ys. GCT of the distal radius after denosumab medical treatment.
Figure 2.Resection and reconstruction with an arthrodesis with microsurgical free fibula (AP view).
Figure 3.Resection and reconstruction with an arthrodesis with microsurgical free fibula (L view).
| Phase | N | Details | Flow |
|---|---|---|---|
| Identification | 1003 | • Identified 992 papers that matched 20 Consensus searches • Identified 11 papers from citation exploration | + 992 identified + 11 identified |
| Screening | 419 | • Removed papers with missing abstracts • Removed duplicates (584 removed) | – missing abstracts – 584 removed |
| Eligibility | 264 | • Removed papers with low semantic relevance to each search (155 removed) | – 155 removed |
| Paper | Technique | Sample size | Key functional results | Follow-up |
|---|---|---|---|---|
| Qu et al., 2018 | Arthrodesis vs arthroplasty (fibular graft) | 21 | Arthrodesis: MSTS 93%, DASH 7, grip 77%; better than arthroplasty | Mean 8 months |
| Kapoor et al., 2022 | Ulnar centralization & arthrodesis | 26 | MSTS 26/30, DASH 10.5, grip 74% of contralateral | Mean 33 months |
| Jalan et al., 2022 | Meta-analysis: AD vs AP | 71 | Higher satisfaction after arthrodesis; similar function, lower grip than arthroplasty | Multiple |
| Gundavda et al., 2021 | Ulnar translocation, 2nd vs 3rd metacarpal | 23 | MSTS up to 30/30, grip less loss with 2nd metacarpal | Median 24 months |
| Quita et al., 2017 | Iliac crest graft arthrodesis | 12 | MSTS 25/30, PRWE 12, grip 69% of non-op hand | Median 45 months |
| Type | Name | Publications |
|---|---|---|
| Author | A. Gulia | (Gulia et al., 2019; Gulia et al., 2021) |
| Author | J. Wunder | (Kapoor et al., 2022; Clarkson et al., 2013; Puloski et al., 2007) |
| Author | A. Griffin | (Puloski et al., 2007; Clarkson et al., 2013) |
| Journal | The Journal of Hand Surgery | (Kapoor et al., 2022; Qu et al., 2018; Clarkson et al., 2013; Sheth et al., 1995) |
| Journal | Journal of Orthopaedic Surgery | (Salunkhe et al., 2017; Meena et al., 2016; Humail et al., 2014) |
| Journal | Clinical Orthopaedics and Related Research | (Gundavda et al., 2022; Wysocki et al., 2015; Puloski et al., 2007) |
| Claim | Evidence strength | Reasoning | Publications |
|---|---|---|---|
| Wrist arthrodesis provides strong grip strength and stable function after distal radius GCT resection | Strong | Multiple studies show grip strength 65-74% of contralateral, high MSTS scores | (Qu et al., 2018; Kapoor et al., 2022; Salunke et al., 2017; Gulia et al., 2019; Gundavda et al., 2021; Jalan et al., 2022; Johan et al., 2023; Clarkson et al., 2013; Meena et al., 2016) |
| Arthrodesis sacrifices wrist motion but preserves forearm rotation | Moderate | Most series report full pronation/supination, but no wrist flexion/extension | (Kapoor et al., 2022; Salunke et al., 2017; Gulia et al., 2019; Gundavda et al., 2021; Jalan et al., 2022; Johan et al., 2023; Clarkson et al., 2013; Meena et al., 2016) |
| Patient satisfaction and return to activity are high after arthrodesis | Moderate | High MSTS/PRWE scores, most patients return to daily activities | (Kapoor et al., 2022; Gulia et al., 2019; Johan et al., 2023; Gundavda et al., 2021; Jalan et al., 2022; Clarkson et al., 2013) |
| Complication rates are moderate, recurrence rates are low | Moderate | Complications (nonunion, infection) occur, but recurrence is rare | (Kapoor et al., 2022; Jalan et al., 2022; Gulia et al., 2019; Johan et al., 2023; Clarkson et al., 2013; Meena et al., 2016) |
| Functional scores may be slightly better with joint-preserving reconstructions, but with higher risk of instability | Moderate | Meta-analyses and comparative studies show this trade-off | (Jalan et al., 2022; Cy et al., 2018; Abuhejleh et al., 2019) |
| Choice of reconstruction should be individualized | Strong | Reviews and expert opinion stress patient-specific decision-making | (Jalan et al., 2022; Serena & Giuditta, 2023; Gundavda et al., 2021) |
References
- Kundu Z, Sharma P, Das L. Wrist fusion with ulnar translocation for aggressive giant cell tumour of distal end radius: short-term functional and clinico-radiological outcomes. J Orthop. 2024; 61:85-91. DOI
- Kapoor L, Banjara R, Sahoo B. Functional outcomes of centralization of the ulna as a method of reconstruction following resection of campanacci grade 3 giant cell tumor of the distal radius. J Hand Surg Am. 2024; 49:63.e1-63.e9. DOI
- Gulia A, Puri A, Prajapati A. Outcomes of short segment distal radius resections and wrist fusion with iliac crest bone grafting for giant cell tumor. J Clin Orthop Trauma. 2019; 10:1033-1037. DOI
- Qu H, Guo W, Li D. Functional results of wrist arthrodesis versus arthroplasty with proximal fibula following giant cell tumour excision of the distal radius. J Hand Surg Eur. 2018; 44:394-401. DOI
- Salunke A, Shah J, Warikoo V. Giant cell tumor of distal radius treated with ulnar translocation and wrist arthrodesis. J Orthop Surg (Hong Kong). 2017; 25:2309499016684972. DOI
- Jalan D, Gupta A, Nayar R. Curettage versus wide resection followed by arthrodesis/arthroplasty for distal radius Giant cell tumours: a meta-analysis of treatment and reconstruction methods. J Orthop. 2022; 33:15-24. DOI
- Johan M, Sukendar A, Yurianto H. Functional outcome of campanacci grade 3 giant cell tumours of distal radius after resection and reconstruction with ulnar translocation technique: a case series. Ann Med Surg (Lond). 2023; 85:3179-3186. DOI
- Wysocki R, Soni E, Virkus W. Is intralesional treatment of giant cell tumor of the distal radius comparable to resection with respect to local control and functional outcome?. Clin Orthop Relat Res. 2015; 473:706-715. DOI
- Serena P, Giuditta G. What is the best indication in giant-cell tumor of the distal radius to achieve good functionality while avoiding recurrence? Review of our case. Hand Surg Rehabil. 2023; 42:582-583. DOI
- Abuhejleh H, Wunder J, Ferguson P. Extended Intralesion al curettage preferred over resection–arthrodesis for giant cell tumour of the distal radius. Eur J Orthop Surg Traumatol. 2019; 30:11-17. DOI
- Clarkson P, Sandford K, Phillips A. Functional results following vascularized versus nonvascularized bone grafts for wrist arthrodesis following excision of giant cell tumors. J Hand Surg Am. 2013; 38:935-940.e1. DOI
- Sheth D, Healey J, Sobel M. Giant cell tumor of the distal radius. J Hand Surg Am. 1995; 20:432-440. DOI
- Meena D, Thalanki S, Sharma S. Wrist fusion through centralisation of the ulna for recurrent giant cell tumour of the distal radius. J Orthop Surg (Hong Kong). 2016; 24:84-87. DOI
- Gundavda M, Agarwal M, Reddy R. Does a modified technique to achieve arthrodesis of the wrist after resection of the distal radius and translocating the ipsilateral ulna as a vascularized graft to reconstruct the defect improve grip strength and outcomes scores?. Clin Orthop Relat Res. 2021; 479:1285-1293. DOI
- Humail S, Ghulam M, Zaidi I. Reconstruction of the distal radius with non-vascularised fibular graft after resection of giant cell tumour of bone. J Orthop Surg (Hong Kong). 2014; 22:356-359. DOI
- Gulia A, Prajapati A, Gupta S. Operative technique of distal radius resection and wrist fusion with iliac crest bone graft. J Clin Orthop Trauma. 2021; 19:17-20. DOI
- Puloski S, Griffin A, Ferguson P. Functional outcomes after treatment of aggressive tumors in the distal radius. Clin Orthop Relat Res. 2007; 459:154-160. DOI
- Choo CY, Mat-Saad AM, Wan-Azman WS. Functional outcome after treatment of aggressive tumours in the distal radius: comparison between reconstruction using proximal fibular graft and wrist fusion. Malays Orthop J. 2018; 12:19-23. DOI
Affiliations
License

This work is licensed under a Creative Commons Attribution-NonCommercial-NoDerivatives 4.0 International License.
Copyright
© © Ortopedici Traumatologi Ospedalieri d’Italia (O.T.O.D.i.) , 2025
How to Cite
- Abstract viewed - 363 times
- PDF downloaded - 49 times

